贊助協會救治街貓帳戶--
外幣贊助匯款指示書>>
(北市社會字第3300號)
玉山銀行 中崙分行(代碼808)
0912940006763
戶名:社團法人臺北市支持流浪貓絕育計劃協會
收據可抵稅請將地址mail至cashier@tnrtw.org0912940006763
戶名:社團法人臺北市支持流浪貓絕育計劃協會
外幣贊助匯款指示書>>
(北市社會字第3300號)
已完成醫助款案例 |
|
- 編號: 1438
-
主題: 水腎、急性腎衰現已康復的小三花 申請者姓名: 蔡葦澄 花色: 申請日期: 2012-11-21 14:54:56 申請者部落格: 申請者臉書網址: 所在縣市/合作醫院: 新北市/愛達司動物醫院 治療費用: 29900元 需求人數: 32人 已結案 (2013-06-13 11:57:34) 報名人員: Joyce Shih(已付款)、Sharon Kuo(已付款)、泡芙麻(已付款)、Liyun Chang(已付款)、Rebecca Wu(已付款)、賴語絃(已付款)、Mia(已付款)、蕭小英(已付款)、蕭小英(已付款)、蕭小英(已付款)、Mago Li(已付款)、Sherry Hung(已付款)、JAy Liin(已付款)、Ping Hussard(已付款)、Yvonne Tsai(已付款)、Sunny Chen(已付款)、Mila(已付款)、林學凱(已付款)、雅雅(已付款)、Judy Yang(已付款)、Monica Hu(已付款)、郭家銘(已付款)、靜老大(已付款)、Sky(已付款)、Sky(已付款)、Sky(已付款)、Sky(已付款)、Sky(已付款)、Sky(已付款)、Sky(已付款)、Sky(已付款)、Sky(已付款)、 候補人員: 動物病情說明: 貓咪是東區張媽媽餵養區域的貓咪,因疑似生病導致腹部略微腫大,再加上貓咪尚未結紮剪耳因而進行捕捉,經醫院醫師檢查應是體型較小且吃的較多導致有腹部腫大的錯覺,貓咪並無其他病症因而進行結紮手術。
回置當日自醫院接回等待天黑放回時,貓咪打了兩個噴嚏,因此將貓咪多留一晚觀察,次日貓咪出現明顯感冒症狀(流涎、有眼屎)精神也變差,給予食物也不進食,立刻將貓咪送往醫院住院治療,經醫師驗血檢查發現上呼吸道感染,眼神渙散、體溫及白血球指數都很高,經住院點滴噴霧治療,感冒改善許多但白血球指數始終略微偏高,採口服抗生素治療並持續觀察。
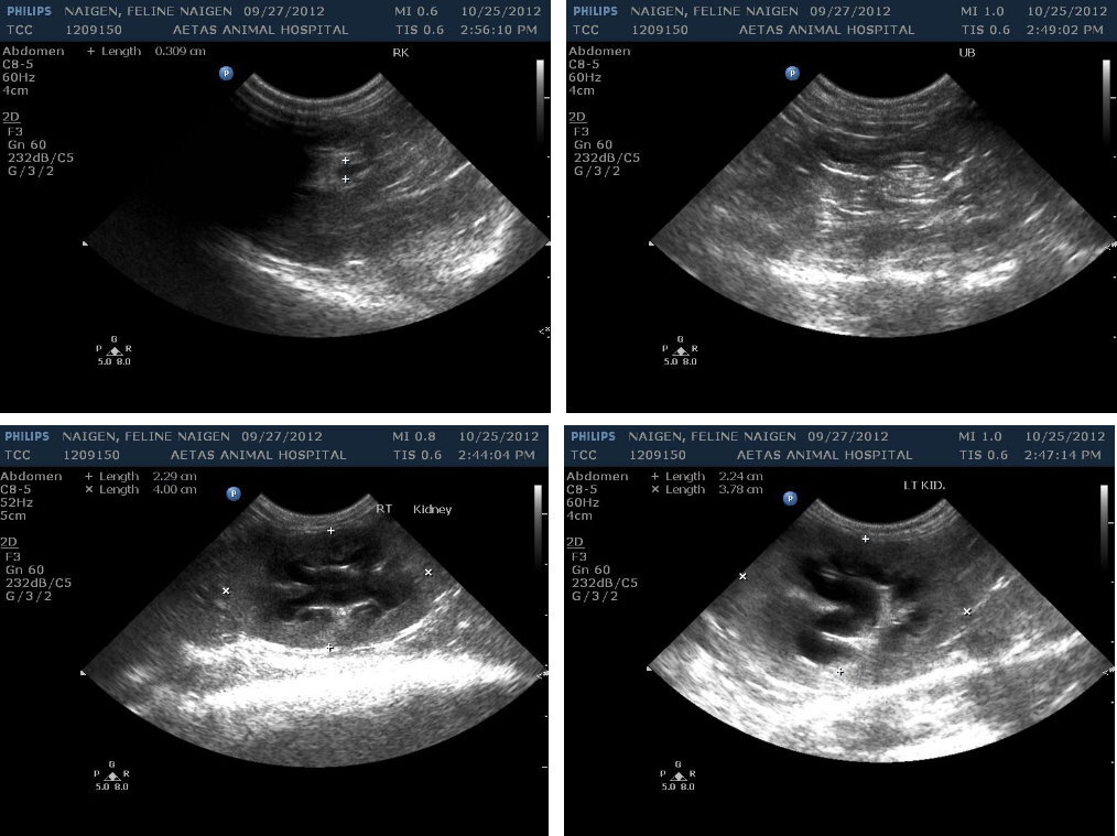
10/25奶精精神食慾變差,驗血發現腎指數BUN 71 / CREA 4.3均高出正常值許多,掃超音波發現腎臟腫大有水腎現象,輸尿管擴張且開始出現無尿的現象,晚間再度驗血BUN 91 / CREA 4.6指數繼續攀升,且鉀離子K+已高至危及性命,疑似輸尿管阻塞因此決定立即進行緊急開腹探查手術。
術中發現雙側的輸尿管漲大,雙側的腎臟後方可以看到明顯的手術結,獨立並未與組織沾黏,不過於輸尿管靠近膀胱部分發現輕微的沾黏,經由剝離後輸尿管腫脹程度減緩,術後鉀離子以及腎指數也有顯著的改善。
住院期間醫生發現牠漸漸卸下心防會主動親人示好,後來更進一步會跟醫生及助理撒嬌,貓咪目前七個月大已痊癒出院,將由志工負責後續送養。
貓咪花了一番折騰才順利活下來,接下來有美好的生活等著牠,希望大家可以幫幫牠的醫藥費,不要讓牠背著負債去新家。










