贊助協會救治街貓帳戶--
外幣贊助匯款指示書>>
(北市社會字第3300號)
玉山銀行 中崙分行(代碼808)
0912940006763
戶名:社團法人臺北市支持流浪貓絕育計劃協會
收據可抵稅請將地址mail至cashier@tnrtw.org0912940006763
戶名:社團法人臺北市支持流浪貓絕育計劃協會
外幣贊助匯款指示書>>
(北市社會字第3300號)
已完成醫助款案例 |
|
- 編號: 1551
-
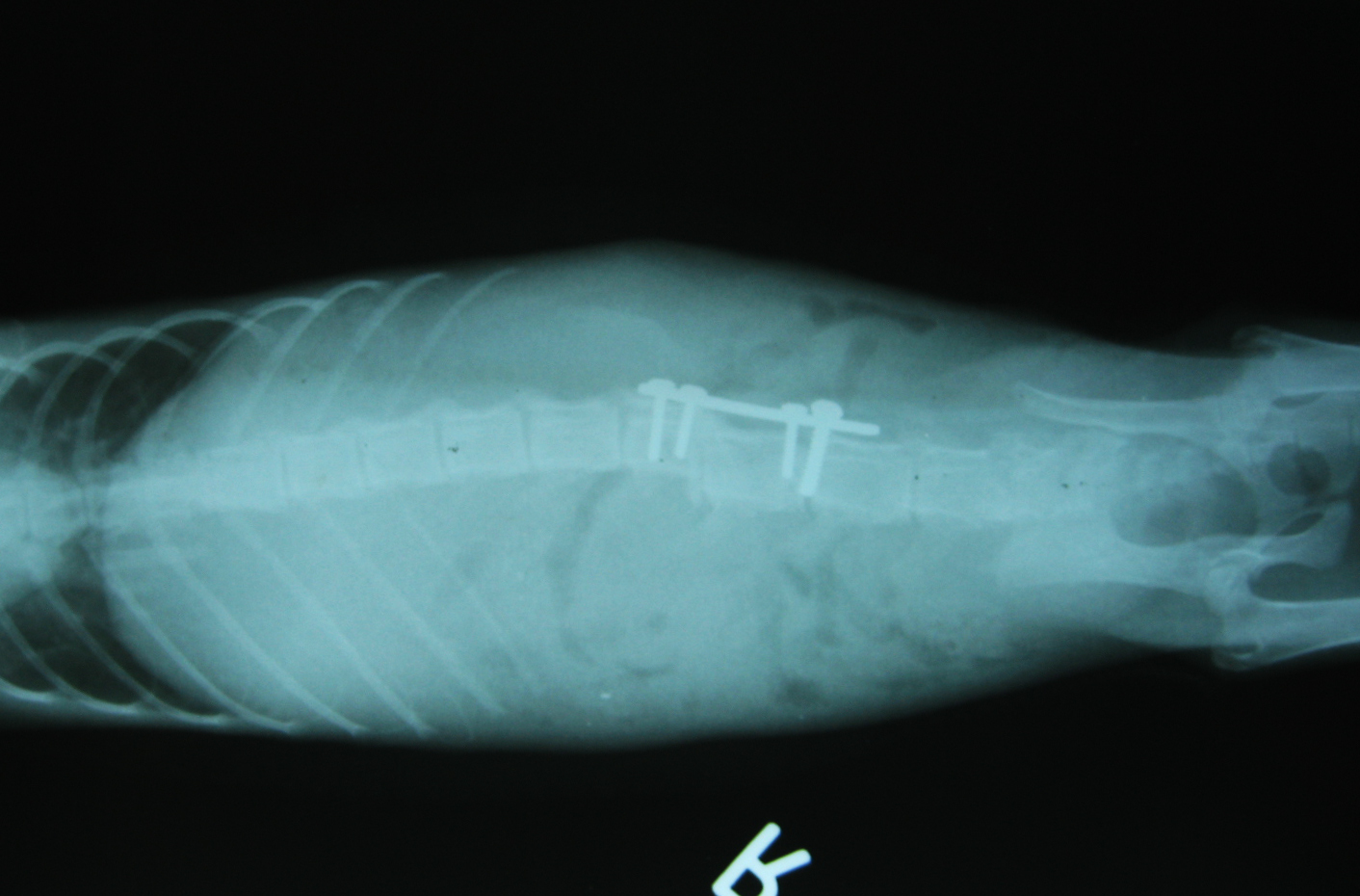
主題: 被狗攻擊造成脊椎錯位的貓 - 手術篇 申請者姓名: 鍾乙玄 花色: 申請日期: 2012-12-09 20:59:23 申請者部落格: 申請者臉書網址: http://www.facebook.com/ihsuanchung 所在縣市/合作醫院: 高雄市/新德民動物醫院 治療費用: 20000元 需求人數: 22人 已結案 (2013-02-23 14:41:14) 報名人員: 圓滾滾(已付款)、何春生(已付款)、Lorelei Tsai(已付款)、philip(已付款)、小鬼娜娜好甜喔(已付款)、ERic YU(已付款)、味噌(已付款)、ERic YU(已付款)、Jill(已付款)、林孟翰(已付款)、邱欣兒(已付款)、以四面佛名義迴向阿咪、咪仔(已付款)、以四面佛名義迴向阿咪丶咪仔(已付款)、以四面佛名義迴向阿咪、咪仔(已付款)、以四面佛名義迴向阿咪丶咪仔(已付款)、以四面佛名義迴向阿咪、咪仔(已付款)、以四面佛名義迴向阿咪、咪仔(已付款)、以四面佛名義迴向阿咪、咪仔(已付款)、以四面佛名義迴向阿咪、咪仔(已付款)、以四面佛名義迴向阿咪丶咪仔(已付款)、以四面佛名義迴向阿咪、咪仔(已付款)、以四面佛名義迴向阿咪、咪仔(已付款)、 候補人員: 動物病情說明: 有時候,動物因求生而展現的生命力,讓人有著深深的感動。
這隻被狗咬傷造成脊椎錯位而癱瘓的貓,我取名為小將,因為他總是忍著疼痛,一在而三的桿直身體努力想爬起,像個不屈不饒的將士一樣,堅強且強韌的生命力讓所有的人動容。
小將是我在醫院為我家寶貝拿藥時,無意間聽到愛心姐姐和醫生的對話,一隻被狗咬傷而癱瘓的貓是否有機會被救治?當愛心姐姐聽到開刀費用時,陷入了猶豫的選擇中。後來我去找尋貓咪,並請求協會給予醫助的幫忙,才讓愛心姐姐破涕微笑。
在X光的顯示下,發現小將的脊椎錯位,下半身雖然冰涼但有輕微的痛覺反應,醫生說,有成功再站起的機率,可以努力看看。短短的一句話卻讓我思考了好久,因為,如果他手術後依舊癱瘓,貓咪不但一輩子陷入無法爬起的痛苦中,而且可能還需人工擠尿和擠便,重要的是,原發現的愛心姐姐無法收容他,未來的他該何去何從?
看著小將狼吞虎咽的吃著罐頭,不知道他已餓了多久,身體的疼痛似乎已被他拋在腦後,如此旺盛的生命力讓我決定和他一起努力,他要努力的好起,我要努力的幫他復健及找家。
為了讓小將術後能達到最佳狀態,由擅長外科手術聯合醫院的黃醫師來執行,目前恢復情況良好,小將也在大家的期待中自行站立了起來。
因手術和術後照顧是由2位不同的醫師來執行,因此醫助的請求也分為2批。有著堅忍意力的小將,第一批的醫療費用要請求大家的幫忙。






