贊助協會救治街貓帳戶--
外幣贊助匯款指示書>>
(北市社會字第3300號)
玉山銀行 中崙分行(代碼808)
0912940006763
戶名:社團法人臺北市支持流浪貓絕育計劃協會
收據可抵稅請將地址mail至cashier@tnrtw.org0912940006763
戶名:社團法人臺北市支持流浪貓絕育計劃協會
外幣贊助匯款指示書>>
(北市社會字第3300號)
已完成醫助款案例 |
|
- 編號: 1569
-
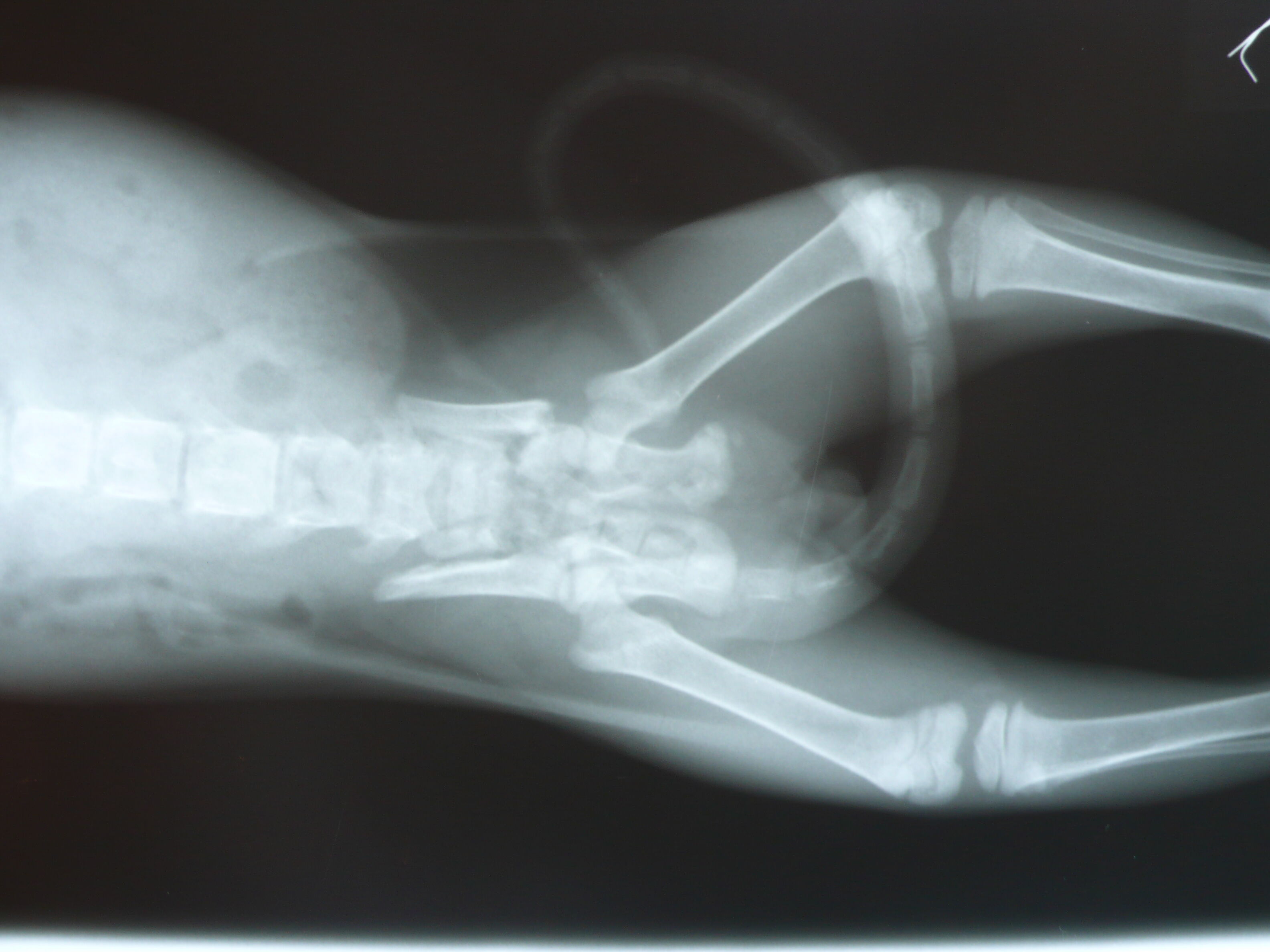
主題: 大同區大龍街骨盤骨折手術小橘白(手手) 申請者姓名: Akimasa Tu 花色: 申請日期: 2012-12-12 00:10:20 申請者部落格: 申請者臉書網址: https://www.facebook.com/akimasa.tu 所在縣市/合作醫院: 台北市/長沁動物醫院 治療費用: 38160元 需求人數: 40人 已結案 (2013-08-06 13:46:45) 報名人員: Hegel Tsai(已付款)、Annabel Wong(已付款)、Ivana Wang(已付款)、火鳳貍(已付款)、Bubujojo(已付款)、Joyce Lien(已付款)、謝佩芳(已付款)、Vincent Ho(已付款)、orangekitten、vanessa(已付款)、wei(已付款)、賴育辰、Minnie Lu(已付款)、劉小蕎、AMY(已付款)、芒果舜(已付款)、Mia Jheng(已付款)、Pa Ssion(已付款)、Pettie Chang、Moon Cat(已付款)、Candice Chao(已付款)、tombosan(已付款)、hungers(已付款)、楊挨打(已付款)、楊挨打、Hugo(已付款)、Jotaro Lin(已付款)、Alison Lee(已付款)、zoechengtw(已付款)、Katrina Chen(已付款)、Emma Chu(已付款)、不不熊(已付款)、Alumi Lu(已付款)、Joyce Hsu(已付款)、以四面佛名義迴向阿咪丶咪仔(已付款)、以四面佛名義迴向阿咪、咪仔(已付款)、Joyce Hsu(已付款)、以四面佛名義迴向阿咪丶咪仔(已付款)、以四面佛名義迴向阿咪丶咪仔(已付款)、以四面佛名義迴向阿咪丶咪仔(已付款)、陳大熊、Miss.Au(已付款)、Fan Chang x3(已付款)、Shirley Tsai(已付款)、 候補人員: 動物病情說明: 這隻小貓是在大龍街一間二手店外面,被一位在當地上班的志工發現,
後腿似有受傷,電話跟我聯絡,請他先至長沁借誘捕籠,抓到小貓後,
先將小貓就近送至長沁檢查,原本以為只是後腿部分有些外傷,但住
院觀查後發現,小貓有排尿不順情況,且有血尿現像,後來又發現小貓
似乎也無法自行排便,每次都蹲很久大不出來,照X光後才發現,這小
貓有嚴重的骨盤腔骨折,且已經開始癒合,導致無法順利排便,只能每
天用手擠出,且大便形狀是呈凹字形一整條狀,骨盤腔變形非常嚴重!
幼貓骨盤腔骨折,每個醫師看法有些不同,有的說要等生長板完全長好
後,等成貓在進行手術,這期間就要每天吃軟便劑,用人工擠大便,有
的說沒有幼貓可用的骨板,張醫師則說手術沒問題,生長板不會有影響
,可以改善排便,有其他的骨板可以使用,因為小貓擠大便很痛苦,每
次都哎哎叫,若能用手術方式一次解決,那也可以減少小貓受長期擠便
之苦,聽醫師建議,決定用手術方式!
手術前擠大便的情況:拍攝於20121104.
http://youtu.be/iNo_vEUqJfQ
手術後一切良好,也能自行排便,住院期間,院方也幫忙送養,但因這
貓非常的膽小怕人,一有人抱,就非常害怕,所以也一直未能被認養,
住院復原情況良好,一切正常後,目前先由我帶回中途照顧。
骨盤腔骨折的貓,真的很常遇到,我自己遇到的案例,有就四例,都需
要開刀才能解決,且有的因長期無法排便,會有巨結腸症的後遺症,有
時還會因大便堆積太多,而無法排便情況,而需要再回診,後續照顧上
得比正常貓更多注意。
這小貓有幸,能被救,若一直在野外,會因一肚子大便大不出來而死!
醫療所需的龐大費用,還是需要大家多多幫忙,感謝大家。





