贊助協會救治街貓帳戶--
外幣贊助匯款指示書>>
(北市社會字第3300號)
玉山銀行 中崙分行(代碼808)
0912940006763
戶名:社團法人臺北市支持流浪貓絕育計劃協會
收據可抵稅請將地址mail至cashier@tnrtw.org0912940006763
戶名:社團法人臺北市支持流浪貓絕育計劃協會
外幣贊助匯款指示書>>
(北市社會字第3300號)
已完成醫助款案例 |
|
- 編號: 1685
-
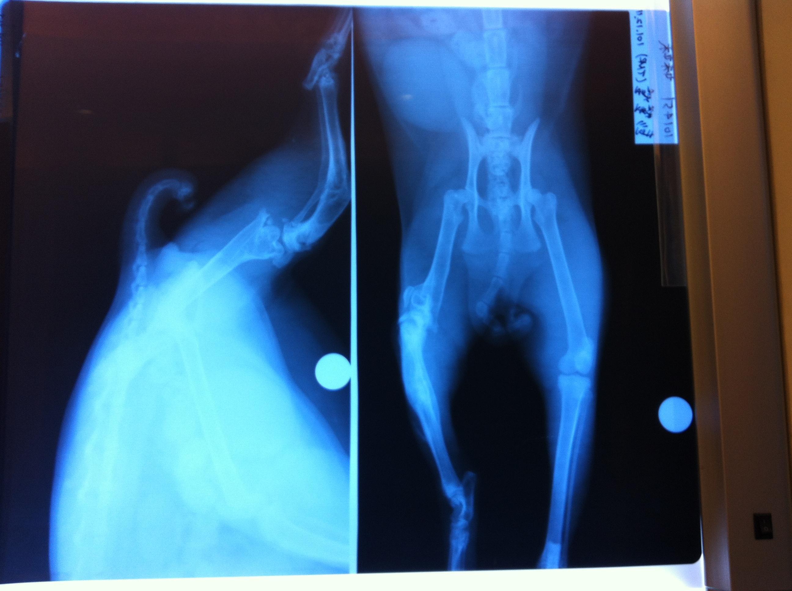
主題: 後腿二處斷裂的小橘妹妹 申請者姓名: 彭瑩瑩 花色: 申請日期: 2012-12-25 00:33:53 申請者部落格: 申請者臉書網址: 所在縣市/合作醫院: 桃園縣/思邁爾動物醫院 治療費用: 28000元 需求人數: 30人 已結案 (2013-08-06 13:45:45) 報名人員: Jerry(已付款)、May Chuang(已付款)、丁小丁(已付款)、Cherry Hsu(已付款)、Eli Tsao(已付款)、Eli Tsao(已付款)、游妃妃(已付款)、Ma Yi(已付款)、杜杜(已付款)、leezu(已付款)、Lin YC(已付款)、Eliza Chen(已付款)、Wanhua Chan(已付款)、Molly Cheng(已付款)、Doris Chen、Yu-Chen Lee(已付款)、miraai(已付款)、陳阿條(已付款)、Mia Wei(已付款)、存錢筒(已付款)、丁小乖(已付款)、周振禮(已付款)、Doris(已付款)、yin(已付款)、Andrea Lin(已付款)、Vickie(已付款)、Raymond Kuo(已付款)、田馨(已付款)、阿修(已付款)、Vozaponmi Cheer(已付款)、okina、Weirong(已付款)、 候補人員: 動物病情說明: 這隻橘妹妹是我在餵養的浪浪,受到不明外力的撞擊(疑似車禍)而造成後左腿的嚴重骨折:小腿和大腿都斷裂。
因為她非常膽小怕人,都是等我離開才敢出來吃大家剩下的,所以發現得很晚。等到發現時,她小腿的骨折已經自行接合,但卻是長成歪的,大腿骨則裂成尖刺,刺進她的肉裡,關節也因而裂開脫離,也就是說她每走一歩路就有尖在刺,可憐的孩子就這樣拖著傷腿痛了不知道多少個日子!
手術是為了把關節移回原處,削除尖銳的裂骨,並打鋼釘固定。現在小橘妹妹很努力地修養,等候復元,希望大家可以幫忙她的手術費用。










