贊助協會救治街貓帳戶--
外幣贊助匯款指示書>>
(北市社會字第3300號)
玉山銀行 中崙分行(代碼808)
0912940006763
戶名:社團法人臺北市支持流浪貓絕育計劃協會
收據可抵稅請將地址mail至cashier@tnrtw.org0912940006763
戶名:社團法人臺北市支持流浪貓絕育計劃協會
外幣贊助匯款指示書>>
(北市社會字第3300號)
已完成醫助款案例 |
|
- 編號: 1854
-
主題: 橋上車禍重傷虎斑貓 申請者姓名: Jerry Lee 花色: 申請日期: 2013-01-25 00:21:41 申請者部落格: http://www.facebook.com/profile.php?id=100005113263929 申請者臉書網址: 所在縣市/合作醫院: 台北市/長沁動物醫院 治療費用: 59400元 需求人數: 62人 已結案 (2013-08-06 13:53:56) 報名人員: 歡歡的媽(已付款)、Jill Tsou(已付款)、Richard Hsu(已付款)、歡歡的媽、JunG(已付款)、黃亞凡(已付款)、饅頭阿姨(已付款)、安咩、Chun Wei Chang(已付款)、Ekim Lu(已付款)、豬小勳(已付款)、茶茶(已付款)、Alison Lee(已付款)、Clain Lin(已付款)、王若娉 (已付款)、Denise Lin、Ida Tsai(已付款)、Kristy Lee(已付款)、阿章(已付款)、Kay Chen(已付款)、阿呆的貓(已付款)、kate(已付款)、波波(已付款)、Mei-Yi Wu(已付款)、Rita Huang(已付款)、Maureen Huang(已付款)、Hsu(已付款)、臉長(已付款)、lita(已付款)、Una Lee、蔡晏睛(已付款)、Sean Hsu(已付款)、收夕(已付款)、Ray Li(已付款)、Lucida Chen(已付款)、Sunny Sun(已付款)、MIMON(已付款)、Jasmine Fan(已付款)、李後良、GORDEN、iMADOKA(已付款)、Ann Kung(已付款)、李後良(已付款)、saeko(已付款)、青菜一把(已付款)、小涵(已付款)、yushi0304(已付款)、Anigi Wang(已付款)、Viana Yin(已付款)、Ardor Huang(已付款)、接小力(已付款)、菲歐歐(已付款)、雅雅(已付款)、謝忻(已付款)、FloraSun、Monica Hu(已付款)、Slowsnow Hsu(已付款)、Gwen Chao(已付款)、Kelly Lin(已付款)、魚呆倪(已付款)、Vanessa Pan、高小鴨™(已付款)、Cynthia、Gina Chen-hui Yu(已付款)、邱小芳、光影(已付款)、言則(已付款)、Shirley Tsai(已付款)、許凱特(已付款)、貝貝(已付款)、吳小小(已付款)、Yen Lin(已付款)、 候補人員: 動物病情說明: 這貓是在行經台北橋時,發現快車道間,車子都在閃,原來是躺了一隻貓
!旁邊還一攤血,原以為往生了,因平時與內人,就有在餵浪貓,並收養
及中途,家裡也共有4、50隻的貓,遇到這種情況,第一念頭,就是下車
準備幫他收遺體,免得又被後車不斷碾過,屍骨不全。
下車後發現他突然動了!又吐血,還沒死!當下就緊急將貓送到最近的醫
院急救,並聯絡TNR協會志工杜先生,因這貓傷勢很重,請求協助傷病貓
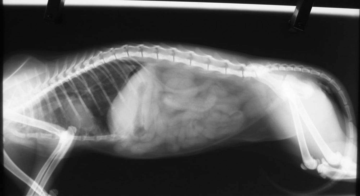
的醫助,到院後,發現貓很喘,嘴巴又都是血,先照X光,初步發現是助骨
斷了,胸腔出血,呼吸有困難,先住院,並提供氧氣,讓貓呼吸能順暢一點
,斷掉的肋骨,後來好的差不多了,突然開始吐,本來懷疑是胰臟炎,檢
查胰臟炎也是陽性的,但胰臟炎治療之後還是吐,做了造影劑檢查發現她的
腸道阻塞,後來開腹發現他的腸道有一段突然縮小,後來病理檢查是淋巴
性病變,推測是由之前外傷造成的,或許是因為被車子壓過去或撞到,導致
局部慢性發炎所致,開腹手術後,貓漸漸恢復了正常,待可出院時,將貓
接回照顧。
因平時餵養浪貓及安置中途的貓又很多,開銷非常大,也需每天花很多的時
間來照顧這些貓,突然遇到嚴重車禍意外的路倒貓,大筆的醫療金額,實在
難以負擔,還需要靠大家一起來幫忙,分擔我們的重擔,目前這貓一切都OK,
請大家放心,會好好安置照顧這貓,看能否有機會幫他找到好人家送養,免去
在外流浪,好好渡過餘生。






