贊助協會救治街貓帳戶--
外幣贊助匯款指示書>>
(北市社會字第3300號)
玉山銀行 中崙分行(代碼808)
0912940006763
戶名:社團法人臺北市支持流浪貓絕育計劃協會
收據可抵稅請將地址mail至cashier@tnrtw.org0912940006763
戶名:社團法人臺北市支持流浪貓絕育計劃協會
外幣贊助匯款指示書>>
(北市社會字第3300號)
已完成醫助款案例 |
|
- 編號: 1980
-
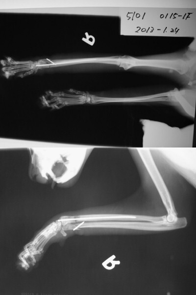
主題: 高雄 鳳山區 五福一路 老鼠夾貓咪 申請者姓名: 劉雅雲 花色: 申請日期: 2013-03-01 09:58:05 申請者部落格: 申請者臉書網址: 所在縣市/合作醫院: 高雄市/樂生動物醫院 治療費用: 18300元 需求人數: 19人 已結案 (2013-06-27 14:21:29) 報名人員: Yi-Jing Wang(已付款)、Luna Tsai(已付款)、Phyllis Chan(已付款)、雲之凡 x2(已付款)、Ray Chen(已付款)、Cay Way(已付款)、Li Li Hsieh(已付款)、王鼎方 x2、betty huang(已付款)、KAYU、謝欣蓓(已付款)、謝立立(已付款)、以四面佛名義迴向阿咪、咪仔 x5(已付款)、chiawei(已付款)、Emily Chou x2(已付款)、 候補人員: 動物病情說明: 1/15志工版裡的求援案件,被老鼠夾夾到的貓咪在地方拖行, 被好幾位民眾合力打開老鼠夾之後貓咪緊張躲到二樓的遮陽棚快4天沒下來吃東西, 後來到民眾二樓開窗去放誘捕籠抓到貓咪就醫. 醫生到院幫貓咪拍X光, 因為有骨折, 採用內固定法手術, 貓咪到院因為已經有化膿,所以留至院中治療, 恢復時間會較長.
明細如下:
血液生化及電解質 1500
X光片 300*6 = 1800
內固定法手術 6000
住院治療 300*30=9000<1/15 - 2/27> 醫生只算30天費用
Total: 18300









