贊助協會救治街貓帳戶--
外幣贊助匯款指示書>>
(北市社會字第3300號)
玉山銀行 中崙分行(代碼808)
0912940006763
戶名:社團法人臺北市支持流浪貓絕育計劃協會
收據可抵稅請將地址mail至cashier@tnrtw.org0912940006763
戶名:社團法人臺北市支持流浪貓絕育計劃協會
外幣贊助匯款指示書>>
(北市社會字第3300號)
已完成醫助款案例 |
|
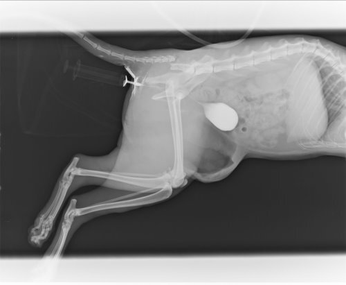
- 編號: 2005
-
主題: 車禍急傷 申請者姓名: 林素蘭 花色: 申請日期: 2013-06-03 23:43:51 申請者部落格: 申請者臉書網址: 所在縣市/合作醫院: 新北市/愛達司動物醫院 治療費用: 16867元 需求人數: 35人 已結案 (2013-06-27 14:20:08) 報名人員: philip x4(已付款)、Linda Wang(已付款)、Weili Chang x4(已付款)、吳毓軒 x2(已付款)、Emily Chou x10(已付款)、treaci(已付款)、賴霂菈(已付款)、黃亞凡(已付款)、戀糖bear x2(已付款)、你這樣(已付款)、Monica Wang(已付款)、點心(已付款)、小飛仔(已付款)、Kate(已付款)、miraai x2(已付款)、Bubu Wang x2(已付款)、 候補人員: sara1204、Suegie、 動物病情說明: 開車行經新店目睹貓咪被車子撞上,貓拖著雙腿在地上爬行,車來車往場面驚心,顧不得車上無任何工具,拿了厚塑膠袋衝到馬路上,試圖要抓牠,深怕這一錯過,貓就不見,或者一不小心又會被其他車輛撞到,一碰觸到貓,他立刻驚恐的想要掙脫,一回身拼命的咬,顧不得滿手鮮血,裝到袋子裡緊緊抱在懷裡,衝回去車上,打電話跟協會求助,送到協會配合的醫院,貓咪因為撞擊骨盆腔骨折,屁股附近的皮膚擦傷脫落,加上貓咪非常緊張,疼痛不願意進食,打了十幾天點滴,每天清創都唉唉叫,經過四十幾天的治療,屁股的傷口復原良好,因為骨盆尚未進行手術,怕癒後會有骨盆狹窄的問題,出院後先安置於家中照顧追蹤,大部分與到需要幫助的貓咪都會自己負擔醫療費用,但這隻貓咪傷勢嚴重,近期遇到的傷病需要醫療的貓咪很多,實在無力再負擔,自付三分之一的醫療費用八千多元,其餘還請各為幫幫忙。謝謝!










