贊助協會救治街貓帳戶--
外幣贊助匯款指示書>>
(北市社會字第3300號)
玉山銀行 中崙分行(代碼808)
0912940006763
戶名:社團法人臺北市支持流浪貓絕育計劃協會
收據可抵稅請將地址mail至cashier@tnrtw.org0912940006763
戶名:社團法人臺北市支持流浪貓絕育計劃協會
外幣贊助匯款指示書>>
(北市社會字第3300號)
已完成醫助款案例 |
|
- 編號: 2201
-
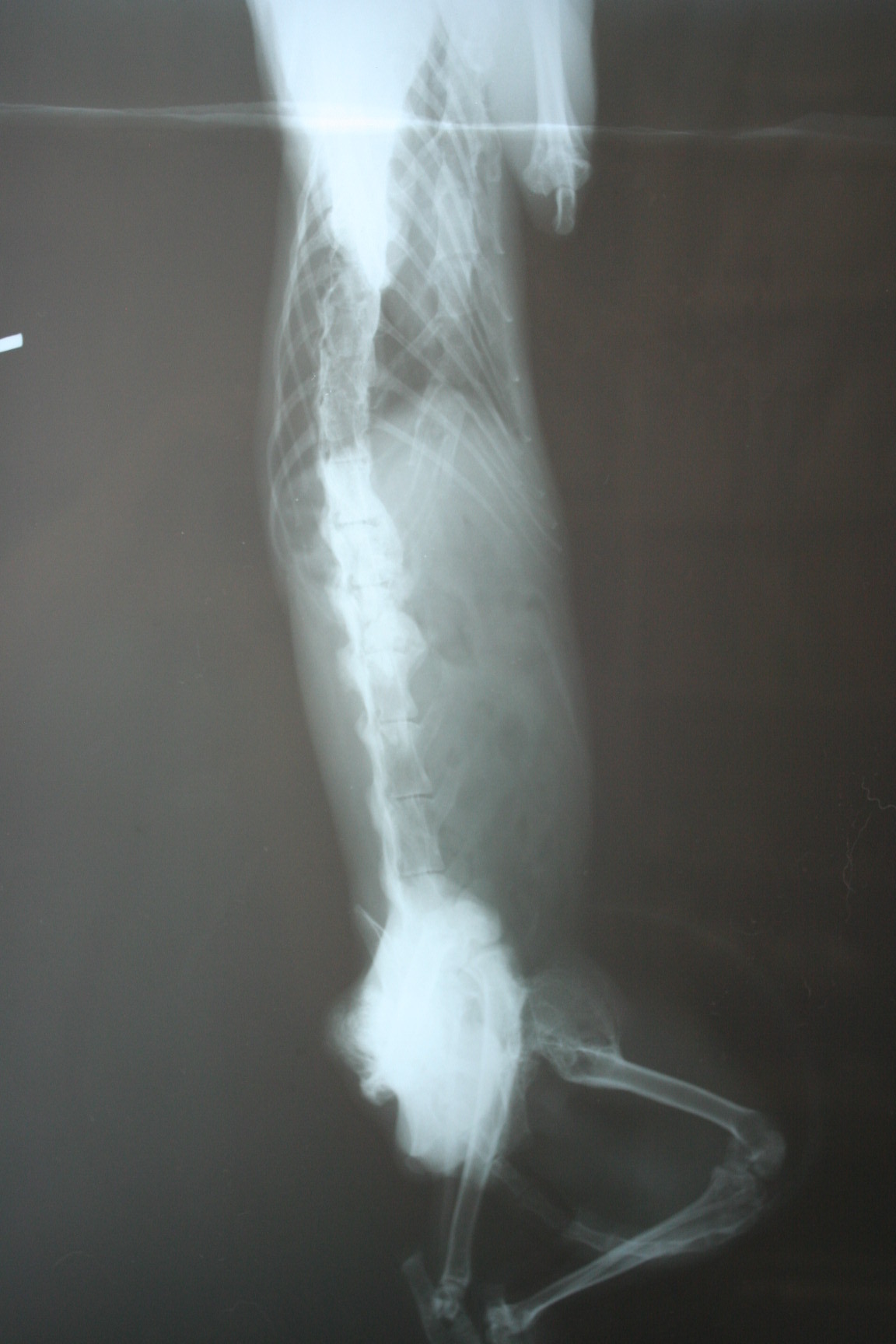
主題: .疑是車禍受傷沒有醫療倒至渾身僵硬.不能行動的貓咪 申請者姓名: 李惠卿 花色: 申請日期: 2013-04-12 17:20:11 申請者部落格: 申請者臉書網址: 所在縣市/合作醫院: 高雄市/回生動物醫院 治療費用: 6200元 需求人數: 7人 已結案 (2013-06-27 14:31:08) 報名人員: 家有三色喵(已付款)、詩詩(已付款)、Pei Shan Lee(已付款)、啾墨韶(已付款)、chiawei x2(已付款)、戀糖bear(已付款)、 候補人員: 動物病情說明: 學生坡網求救的貓咪.一到現場發現貓咪情況非常糟.骨瘦如材.直接就用抱的帶到醫院.貓咪骨頭懷疑是曾經車禍或外力受傷.沒有治療.骨頭不正常的增生.導致渾身僵硬.連頭都無法轉動..貓咪送醫時只能採取保守支持性的治療.灌食營養品..住院十天 後由通報的學生們接回照顧..醫療費用需要大家的幫忙.4000(4/2-4/11 400*10 住院費)+4/2洗澡剪毛600+4/2.4/3 X光片 (400*4)1600=6200
謝謝大家的幫忙. 感恩







