贊助協會救治街貓帳戶--
外幣贊助匯款指示書>>
(北市社會字第3300號)
玉山銀行 中崙分行(代碼808)
0912940006763
戶名:社團法人臺北市支持流浪貓絕育計劃協會
收據可抵稅請將地址mail至cashier@tnrtw.org0912940006763
戶名:社團法人臺北市支持流浪貓絕育計劃協會
外幣贊助匯款指示書>>
(北市社會字第3300號)
已完成醫助款案例 |
|
- 編號: 2258
-
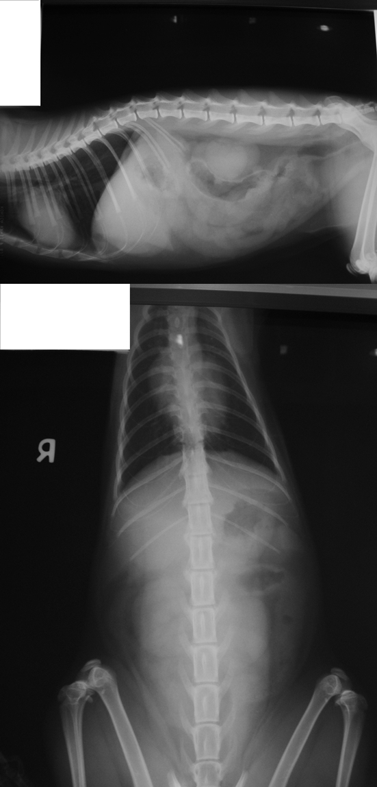
主題: 明道路 路倒嘴有血的黑貓 申請者姓名: 劉雅雲 花色: 申請日期: 2013-04-17 22:15:17 申請者部落格: 申請者臉書網址: 所在縣市/合作醫院: 高雄市/樂生動物醫院 治療費用: 10800元 需求人數: 23人 已結案 (2013-09-03 16:23:17) 報名人員: Jessie Chen x3(已付款)、董珈瑄(已付款)、周妍鈞(已付款)、Tin H(已付款)、楊閔華(已付款)、何偉靖(已付款)、郭小翼、謝佩芳(已付款)、Amy Li(已付款)、Rebecta Su、林廷軒(已付款)、馬豆漿 x2(已付款)、acctgbaby(已付款)、Anq Liao x2(已付款)、Angel Chou(已付款)、Marlie Sinma、Marlie Sinma、Eva Lee(已付款)、Alison Lee(已付款)、Lynn Lin(已付款)、MiniMe Chen(已付款)、Ya Shin Yang、Ya Shin Yang(已付款)、惠惠(已付款)、 候補人員: 動物病情說明: 3/21的中午在明正國小餵食區剛下車要放飼料就看到旁邊明道路上有一隻黑貓在路旁轉圈圈, 以為他在追昆蟲, 越看越奇怪他偏到路邊就趴下了. 過去看發現他嘴角有血應該是被車撞了, 貓躺在地方不太能移動, 趕快用洗衣網把他裝起來, 然後帶到醫院就醫, 發現此貓咪有剪耳, 是我在1月份結過紮原放的浪貓, 還好我在旁餵食剛好看到. 貓咪就醫有腦震盪的現象不吃, 走路會不平衡, 醫生有幫她打點滴, 照x光和血檢並做治療, 現在貓咪已經康復回到她熟悉的地方, 現在每天餵食時會在她那邊的小草地也放一碗飼料.
明細如下:
1.血液生化及電解質 1500
2.X 光片 (胸腔及腹腔各2張) 300*4=1200
3.住院 300*20=6000 <3/21 - 4/9>
4.點滴 300*7=2100
Total: 10800








