贊助協會救治街貓帳戶--
外幣贊助匯款指示書>>
(北市社會字第3300號)
玉山銀行 中崙分行(代碼808)
0912940006763
戶名:社團法人臺北市支持流浪貓絕育計劃協會
收據可抵稅請將地址mail至cashier@tnrtw.org0912940006763
戶名:社團法人臺北市支持流浪貓絕育計劃協會
外幣贊助匯款指示書>>
(北市社會字第3300號)
已完成醫助款案例 |
|
- 編號: 2306
-
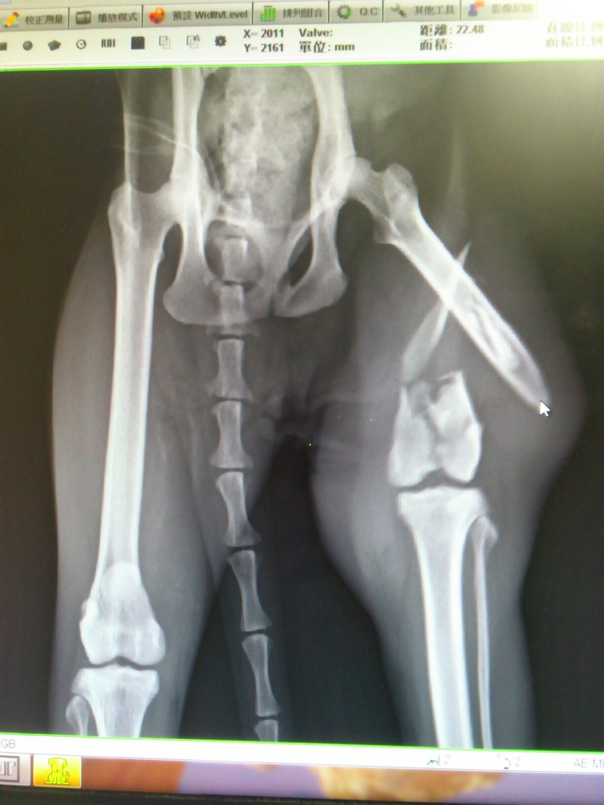
主題: 哺乳母貓車禍造成嚴重骨折 申請者姓名: 金承穎 花色: 申請日期: 2013-06-11 16:59:51 申請者部落格: 申請者臉書網址: 所在縣市/合作醫院: 台北市/其他院所醫助專案(醫院請先MAIL溝通) 治療費用: 61900元 需求人數: 64人 已結案 (2013-09-03 16:23:02) 報名人員: Jong Chia Liu x2(已付款)、吉布弟(已付款)、Katilin Chang(已付款)、momo x2(已付款)、Yin-Chia Su(已付款)、Norman Wu(已付款)、philip x2(已付款)、smilecat x2(已付款)、小節(已付款)、小麥(已付款)、suxiwen x2(已付款)、陳倩婷(已付款)、樂樂(已付款)、connie242(已付款)、Ping Hussard(已付款)、王麗惠(已付款)、莊又臻(已付款)、Wanhua Chan(已付款)、Lulu Lin、Lulu Lin(已付款)、Peggy Tseng(已付款)、韋懷思(已付款)、緣緣寶貝 x2(已付款)、Aretha Lin(已付款)、zofia(已付款)、Candy Wu(已付款)、Stephen(已付款)、Ted x2(已付款)、愛麗絲(已付款)、Ting-Ju Chen(已付款)、Rean Wu(已付款)、Gina Chen-hui Yu x2(已付款)、黃亞凡(已付款)、Sue Su(已付款)、Yuchun Chao(已付款)、joey(已付款)、Wei Lin(已付款)、蘇小優(已付款)、阿惹(已付款)、Meng-Ning Wang(已付款)、古法蘭(已付款)、古法蘭(已付款)、林嘉南(已付款)、游妃妃(已付款)、vivian(已付款)、lavinia x2(已付款)、Takeshi Kan(已付款)、kayu x2(已付款)、煎塔媽(已付款)、蔡秀芳(已付款)、家有三色喵(已付款)、Vivienne Peng(已付款)、Chen Ping、Chen Ping、Bess(已付款)、小p(已付款)、Ou Han(已付款)、 候補人員: 動物病情說明: 4/12早上10點左右.在承德路.百齡橋下發現牠.應該是被車撞..不然不會那麼嚴重.送醫發現.牠的左後肢嚴重開放性骨折,斷成數截、肝指數破表.為了保住他的腳,懇求協會幫忙協助幫忙安排就醫,虎虎到院時就有嚴重脹奶的問題,回到發現虎虎的地方,完全不見小貓蹤影,只能請醫師多注意虎虎的狀況
4/14日虎虎還是不願意進食,車禍對他的創傷甚巨,醫師緊急安置食道餵管,方便灌食補充營養,4/22日才進行大腿粉碎性骨折修復手術,數日後,虎虎的乳房脹奶發炎化膿,又進行手術清創,目前已經先出院照顧安置,虎虎的腳還需要做外包紮固定,等待他慢慢復原。
已支付第一家醫院的X光拍攝、驗血費用,第二家醫院負擔兩萬元醫療費用,剩餘的部分真的需要大家幫忙,讓虎虎可以恢復健康。








