贊助協會救治街貓帳戶--
外幣贊助匯款指示書>>
(北市社會字第3300號)
玉山銀行 中崙分行(代碼808)
0912940006763
戶名:社團法人臺北市支持流浪貓絕育計劃協會
收據可抵稅請將地址mail至cashier@tnrtw.org0912940006763
戶名:社團法人臺北市支持流浪貓絕育計劃協會
外幣贊助匯款指示書>>
(北市社會字第3300號)
已完成醫助款案例 |
|
- 編號: 2375
-
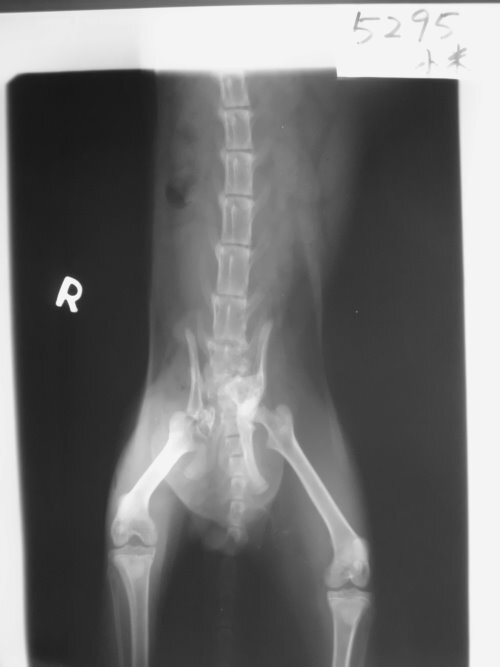
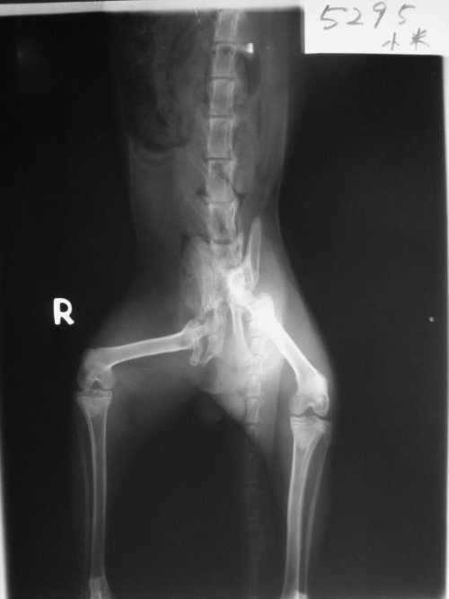
主題: 跛腳的貓咪 申請者姓名: 黃雅卉 花色: 申請日期: 2013-05-10 23:14:47 申請者部落格: 申請者臉書網址: 所在縣市/合作醫院: 高雄市/樂生動物醫院 治療費用: 24900元 需求人數: 26人 已結案 (2013-06-27 14:36:01) 報名人員: 胖姨 x26(已付款)、 候補人員: 動物病情說明: 在三民區灣愛里發現一隻貓咪走路跛腳,似行動有問題的貓咪,立即送醫經醫生診療,發現貓咪體內有許多排泄物,無法自行排出,X光檢查發現骨盆腔及腳骨折,骨盆變形壓迫導致排便困難,第一次緊急手術將腸切開把糞便取出,先解決積便可能會導致的巨結腸,術後貓咪狀況良好,先帶回中途照顧,每天餵食軟便劑和專用飼料,一個月後進行骨盆復位手術,因本人是學生無法支出這筆醫療費用懇求協會求助,請大家幫幫忙貓咪的兩次手術費用。謝謝!






