贊助協會救治街貓帳戶--
外幣贊助匯款指示書>>
(北市社會字第3300號)
玉山銀行 中崙分行(代碼808)
0912940006763
戶名:社團法人臺北市支持流浪貓絕育計劃協會
收據可抵稅請將地址mail至cashier@tnrtw.org0912940006763
戶名:社團法人臺北市支持流浪貓絕育計劃協會
外幣贊助匯款指示書>>
(北市社會字第3300號)
已完成醫助款案例 |
|
- 編號: 3174
-
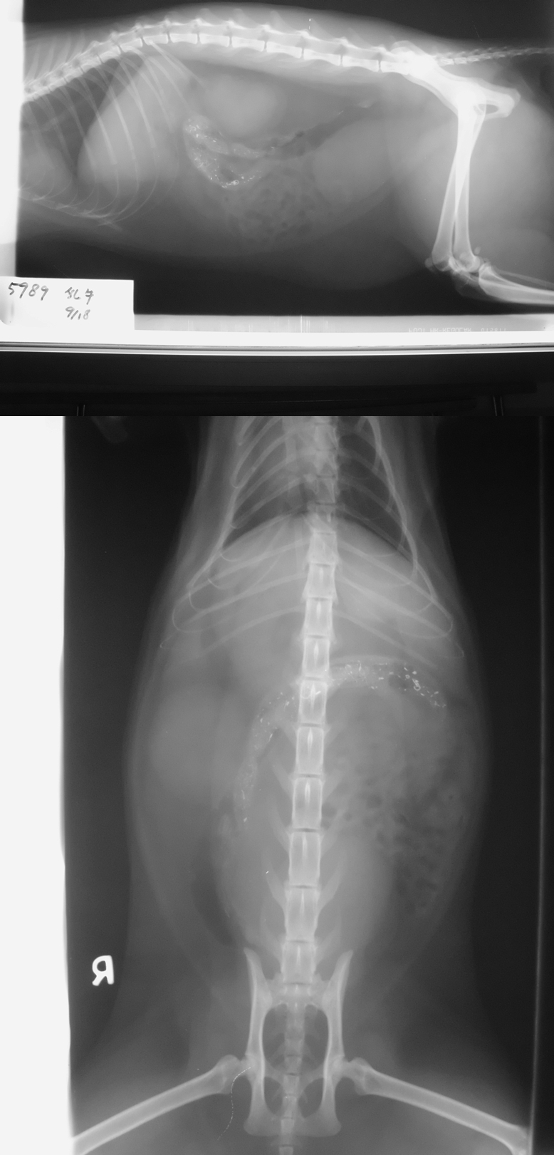
主題: 前鎮明道路血尿的乳牛貓 申請者姓名: 劉雅雲 花色: 申請日期: 2013-10-26 00:23:57 申請者部落格: 申請者臉書網址: 所在縣市/合作醫院: 高雄市/樂生動物醫院 治療費用: 14100元 需求人數: 16人 已結案 (2014-01-10 17:58:20) 報名人員: Kuen-Lin Tsai(已付款)、小娃(已付款)、收夕(已付款)、謝琦琦(已付款)、謝琦琦、Ou Han(已付款)、Leah(已付款)、JasmineC x2(已付款)、M&M(已付款)、Vincent Ho(已付款)、葉小姐(已付款)、Jason Liu(已付款)、ERic YU(已付款)、周小蕾(已付款)、Example Chen(已付款)、chiaowho(已付款)、 候補人員: 動物病情說明: 這是餵養區周圍的貓, 已有結紮, 偶爾會出現, 但最近幾次看到他走路慢慢的, 屁股濕濕,不太吃, 所以誘捕到醫院檢查, 發現有血尿及尿毒症,口腔有潰瘍及牙結石. 經過了治療終於康復了. 感謝大家的協助.
醫療費用如下
1.除蚤 200
2.驅蟲 100
3.住院(9/23~10/24) 200*31= 6200
4.點滴(9/23~10/5) 300*12= 3600
5.血檢(9/23) 1500
6.血液監測(10/18) 400*1 = 400
7.洗牙 1000
8.X光 300*2= 600
9.超音波 500
註:原住院費300/天,因住院天數較久,住院費每天折扣100
total = 14100









