贊助協會救治街貓帳戶--
外幣贊助匯款指示書>>
(北市社會字第3300號)
玉山銀行 中崙分行(代碼808)
0912940006763
戶名:社團法人臺北市支持流浪貓絕育計劃協會
收據可抵稅請將地址mail至cashier@tnrtw.org0912940006763
戶名:社團法人臺北市支持流浪貓絕育計劃協會
外幣贊助匯款指示書>>
(北市社會字第3300號)
已完成醫助款案例 |
|
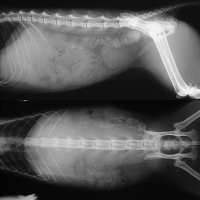
- 編號: 3177
-
主題: 失蹤多日之爆瘦橘貓 申請者姓名: 陳露露 花色: 申請日期: 2013-10-31 08:18:09 申請者部落格: 申請者臉書網址: 所在縣市/合作醫院: 高雄市/樂生動物醫院 治療費用: 12300元 需求人數: 14人 已結案 (2014-01-10 17:58:09) 報名人員: 布蘭卡小姐(已付款)、邱小咪(已付款)、Bubu Wang(已付款)、Cindy Chen(已付款)、Cindy Chen x2(已付款)、張鋅祺(已付款)、有貓真好(已付款)、Cathy Kao(已付款)、peggy(已付款)、陳湘淇(已付款)、lavinia x3(已付款)、 候補人員: 動物病情說明: 此貓為志工餵養已久之浪貓
此貓約3週前就不見蹤跡,心想恐遭不測
直至兩日前出現,志工欣喜不已
但竟發現此貓爆瘦,且行動緩慢無力
疑身體不適,給食物不吃,
給此貓之前最愛的罐頭亦不吃
持續了兩三天皆如此,志工心想不對勁
趕緊抓去就醫
經送醫後醫生表示
橘子有發燒及脫水,黃疸的現象,
初步血檢有貓愛滋,
且白血球偏低及肝指數過高的現象,
可能與貓愛滋發病或肝細胞受損有相關性,
初步先點滴及給藥治療,再做評估及檢查,
看改善情況後,再做調整
經一段時間的醫療後,橘子終於病癒出院
感謝樂生動物醫院醫生及助理
對橘子的細心治療及照顧
實際費用明細請參閱收據動物近況說明: 出院後原放繼續餵食
且都有出現並食慾不錯唷









