贊助協會救治街貓帳戶--
外幣贊助匯款指示書>>
(北市社會字第3300號)
玉山銀行 中崙分行(代碼808)
0912940006763
戶名:社團法人臺北市支持流浪貓絕育計劃協會
收據可抵稅請將地址mail至cashier@tnrtw.org0912940006763
戶名:社團法人臺北市支持流浪貓絕育計劃協會
外幣贊助匯款指示書>>
(北市社會字第3300號)
已完成醫助款案例 |
|
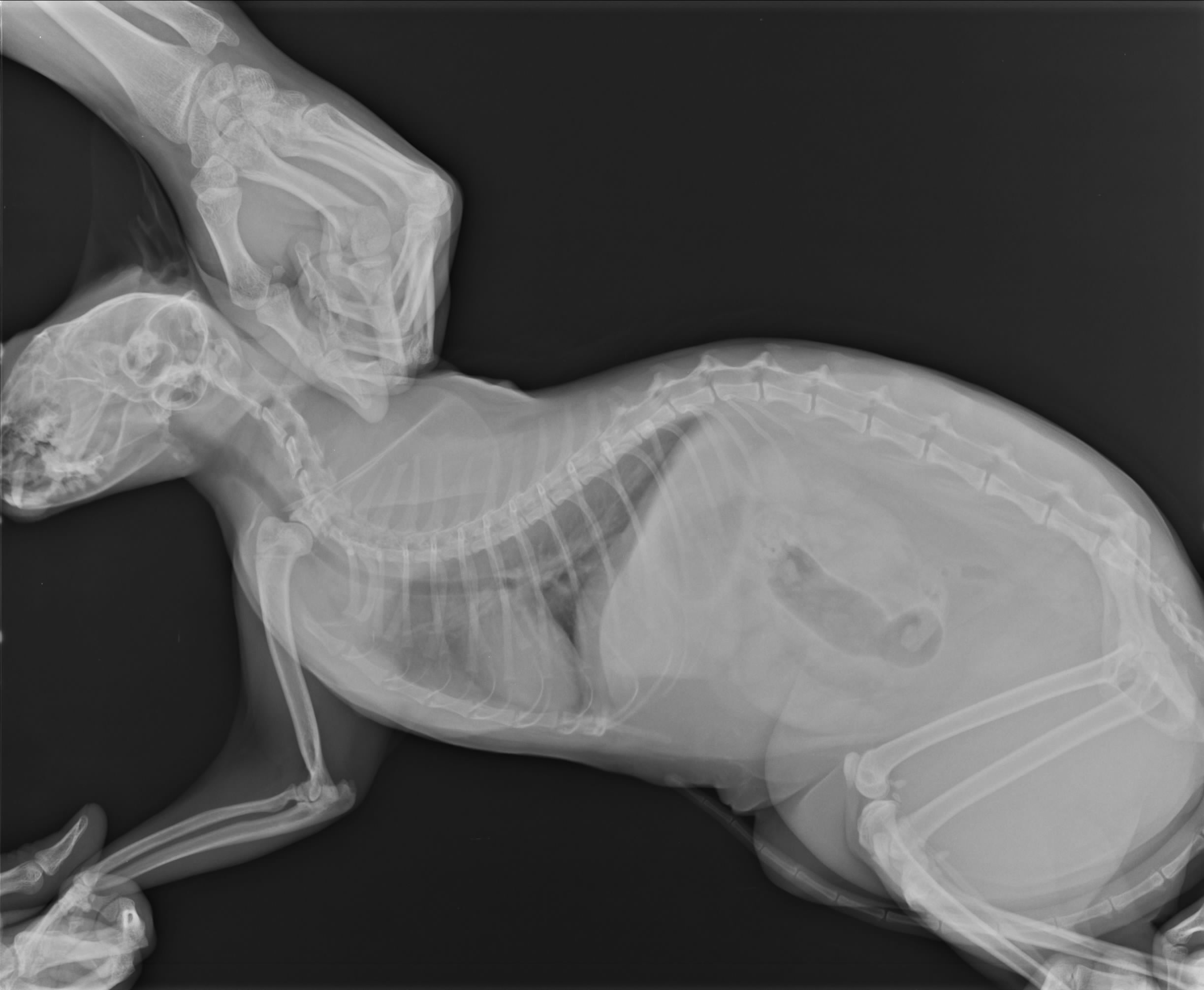
- 編號: 3570
-
主題: 淚眼汪汪鼻塞無法呼吸的藍藍香 申請者姓名: 臺北市支持流浪貓絕育計劃協會 花色: 申請日期: 2013-11-20 18:09:57 申請者部落格: 申請者臉書網址: 所在縣市/合作醫院: 台北市/極光動物醫院 治療費用: 3510元 需求人數: 8人 已結案 (2014-01-10 17:49:31) 報名人員: Jeanine An(已付款)、Jason Chang(已付款)、ZLIN(已付款)、何偉靖(已付款)、蘇小吉(已付款)、grace(已付款)、Summer(已付款)、Sunny Chen(已付款)、 候補人員: 動物病情說明: 藍藍香在天氣轉換之際,開始出現鼻氣管炎的現象,補充離胺酸和營養品不見改善,狀況越來越惡化,看診醫師給予一些噴霧的藥劑和抗生素,第三天不見改善不吃不喝,再次就醫,一量居然發燒,仰頭張口呼吸,感覺很不舒服,怕有肺部感染的問題,拍X光檢查,所幸並沒有異樣,住院含噴霧、抗生素和打水退燒,三天後狀況穩定已帶回持續餵藥、噴霧治療。











