贊助協會救治街貓帳戶--
外幣贊助匯款指示書>>
(北市社會字第3300號)
玉山銀行 中崙分行(代碼808)
0912940006763
戶名:社團法人臺北市支持流浪貓絕育計劃協會
收據可抵稅請將地址mail至cashier@tnrtw.org0912940006763
戶名:社團法人臺北市支持流浪貓絕育計劃協會
外幣贊助匯款指示書>>
(北市社會字第3300號)
已完成醫助款案例 |
|
- 編號: 3624
-
主題: 腳上一個洞的賓士姐 申請者姓名: Sally Chang 花色: 申請日期: 2013-12-11 23:45:00 申請者部落格: 申請者臉書網址: 所在縣市/合作醫院: 高雄市/恩澤動物醫院 治療費用: 17330元 需求人數: 20人 已結案 (2014-01-10 17:48:23) 報名人員: 徐阿悟(已付款)、謝佩芳(已付款)、胡嘉娙(已付款)、Wen-Chieh Juan(已付款)、嫻嫻 x2(已付款)、兔曉靜(已付款)、綺(已付款)、戴小佑(已付款)、Yi-Jun Huang(已付款)、Carol Kuo(已付款)、Irene Chen、Irene Chen(已付款)、chiawei(已付款)、Yunnami Liu(已付款)、Mimi Fish x5(已付款)、桑尼(已付款)、 候補人員: 動物病情說明: 餵養區的賓士姐不見三天後.
再次出現就帶著這個傷.
耗了兩個晚上.
好不容易再進籠.
連忙隔日一早起來送醫!
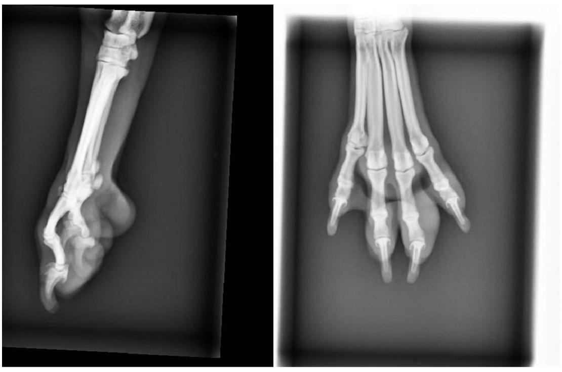
傷口位於左前肢內側穿刺傷.外側潰爛
還好沒傷到骨頭.
但是傷口真的很深.
醫師研判應該是東西插入造成的,
還好發現得早免於太嚴重會導致截肢,
但復原需一段時間...
經過二十多天的努力,
賓士姐的傷口終於復原了,
目前也回到原地生活,
龐大的醫療費用須要大家的幫忙!
謝謝!!
醫療明細如下:
第一階段(102/11/15---102/11/21)
1.血液檢查 900+600
2.X-RAY 400*2
3.鎮靜 400*2
4.點滴治療 600*7
5.住院費用 400*7
6.清創敷料 300*5
7.除蚤 250 (不折扣)
Total 12600*0.7+250= 9070
第二階段(102/11/21---102/12/4)
1.鎮靜 400*2
2.點滴治療 600*5
3.住院費用 400*14
4.清創敷料 300*8
Total 11800*0.7=8260
總計 17330




