贊助協會救治街貓帳戶--
外幣贊助匯款指示書>>
(北市社會字第3300號)
玉山銀行 中崙分行(代碼808)
0912940006763
戶名:社團法人臺北市支持流浪貓絕育計劃協會
收據可抵稅請將地址mail至cashier@tnrtw.org0912940006763
戶名:社團法人臺北市支持流浪貓絕育計劃協會
外幣贊助匯款指示書>>
(北市社會字第3300號)
已完成醫助款案例 |
|
- 編號: 3658
-
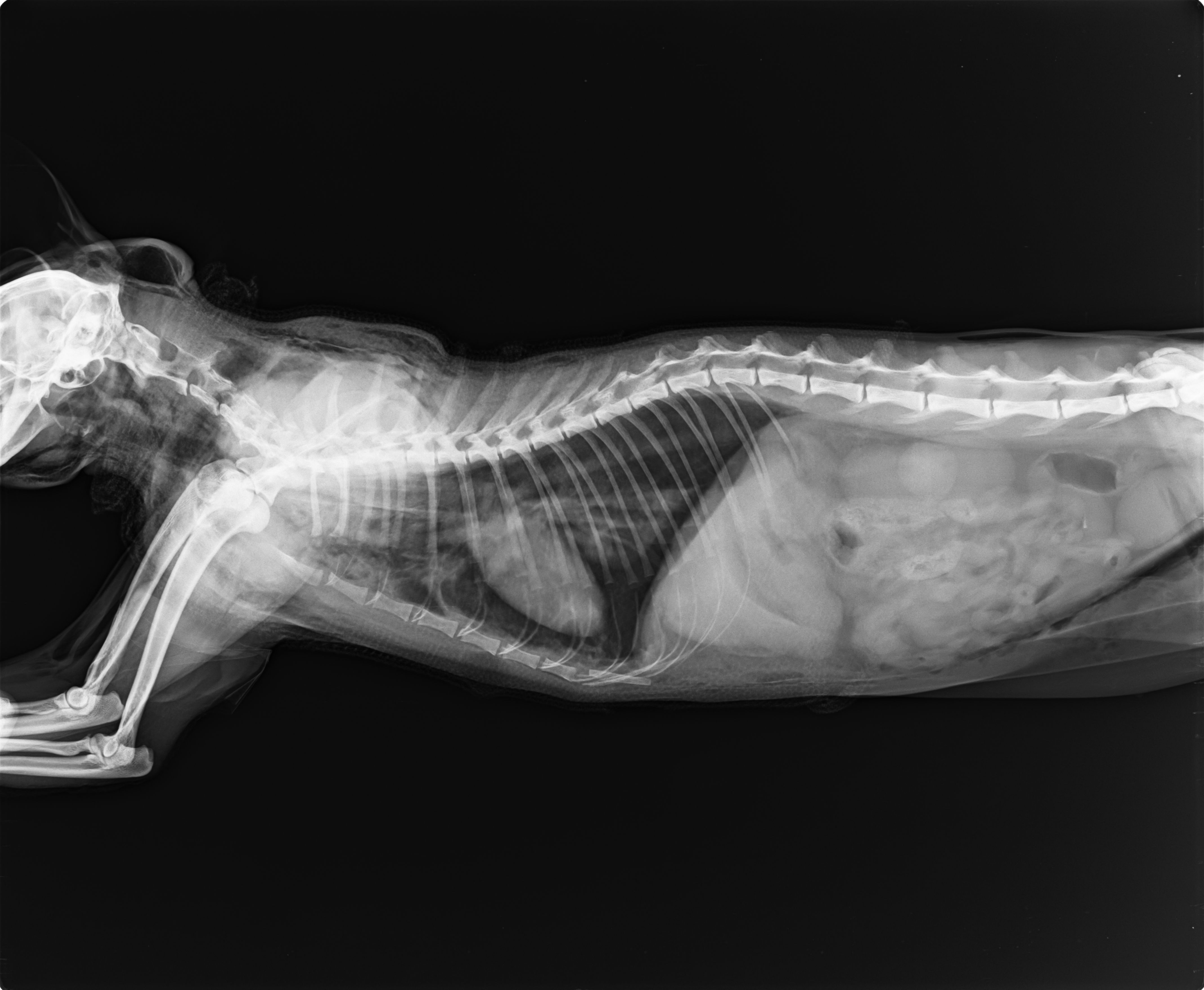
主題: 被狗咬傷導致氣胸的黑芝麻醫助案 申請者姓名: Jill Ringo 花色: 申請日期: 2013-12-09 14:10:23 申請者部落格: http://jilltgh002.pixnet.net/album 申請者臉書網址: https://www.facebook.com/jill.ringo 所在縣市/合作醫院: 台北市/極光動物醫院 治療費用: 28060元 需求人數: 30人 已結案 (2014-01-10 17:47:14) 報名人員: Jill Ringo(代Saigo Shi報名) x2(已付款)、周先媛 x2(已付款)、傻傻(已付款)、Joe Hook(已付款)、陳璇璇(已付款)、麵貓匪(已付款)、何偉靖(已付款)、曾亭亭(已付款)、陳小橘 x2(已付款)、J(已付款)、vivian(已付款)、Angel Liao(已付款)、wubaimi(已付款)、王大咪(已付款)、豬小勳(已付款)、謝佳紋(已付款)、Wanhua Chan(已付款)、megumi(已付款)、貓小玉(已付款)、Kuen-Lin Tsai(已付款)、Daisy Juang(已付款)、Nancy(已付款)、Ping Meng(已付款)、姬琳、詹曉青(已付款)、詹曉青、詹曉青、Fei Wang(已付款)、eleanore(已付款)、戀糖bear(已付款)、 候補人員: 動物病情說明: 疑似被浪狗狗咬傷的黑芝麻轉院後仍先住氧氣房,
轉院隔天醫生再拍X光,氣腫情狀有改善,
心臟也回到正確位置,表示內部的氣體有排出,
且沒有再有氣體進入,是好消息。
過幾天後黑芝麻已可不需吸氧氣,住在普通病房,
但可能因為緊張關係有血尿情況,
醫生一併幫他做清洗膀胱的動作,
並在醫生確定黑芝麻狀況OK後為他施打三合一疫苗,
因後續出院後中途處先前有放置喵瘟喵喵(已多次消毒),在預防針後確定黑芝麻健康狀況無慮由我帶回家中途。動物近況說明: 黑芝麻已於11/29出院,由我帶回家中途照顧,
剛開始仍緊張不主動吃乾乾,只有喝水和尿尿,
於是準備罐罐伺候~
終於在3天後看到黑芝麻令人高興的便便~
目前已較在醫院時放鬆很多,
會主動吃乾乾大便也正常,
希望日後有機會幫他找到新家~








