贊助協會救治街貓帳戶--
外幣贊助匯款指示書>>
(北市社會字第3300號)
玉山銀行 中崙分行(代碼808)
0912940006763
戶名:社團法人臺北市支持流浪貓絕育計劃協會
收據可抵稅請將地址mail至cashier@tnrtw.org0912940006763
戶名:社團法人臺北市支持流浪貓絕育計劃協會
外幣贊助匯款指示書>>
(北市社會字第3300號)
已完成醫助款案例 |
|
- 編號: 3951
-
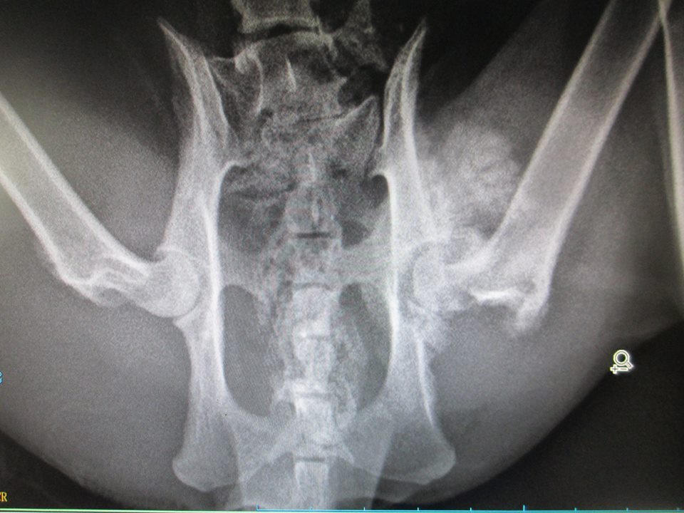
主題: 寒冬中的斷尾骨折小花 申請者姓名: 吳佩君 花色: 申請日期: 2014-03-17 13:30:01 申請者部落格: 申請者臉書網址: 所在縣市/合作醫院: 台北市/欣旺動物醫院 治療費用: 9800元 需求人數: 12人 已結案 (2014-05-18 09:40:36) 報名人員: Sunny Chen(已付款)、Forest(已付款)、grace0710(已付款)、megumi(已付款)、ERic YU(已付款)、Parry Hsu(已付款)、Queenie Chang(已付款)、clement(已付款)、豆腐人 x3(已付款)、小四(已付款)、 候補人員: 動物病情說明: 過年,對於我們是個喜慶的節日,對於斷尾的小花......卻沒有絲毫的歡喜
寒冬中忍受的斷尾骨折的疼痛,卑微的街貓們只能在人類的夾縫中生存,偏偏小花承受著不知是野狗咬傷或是街貓打架到潰爛見骨的疼痛與可能骨折的後腿,行動是如此的緩慢與笨拙,想見這過年他該如何躲避無情的鞭炮與飢餓??
過年前請TNR協助誘捕籠的醞釀終於在初五的那日見到了小花疲憊又痛楚的身影,看著小花一跛一跛地望著那個他不熟悉卻又散發迷人香味的方盒子,實在不忍心破壞他對於人類的信任,最終只希望他能理解我們是為了他好。
或許是過度的驚嚇,可能是身體的痛楚,小花在誘捕籠中沒有一點掙扎與反抗,而是一種接受命運淬鍊的無奈與冷靜,也或許是身體的疼痛已經讓他沒有力氣反抗了。過年假期,中和地區的醫院並沒有營業,只得送往松山的欣旺動物醫院。空氣中濕潤的微雨更諷刺著年節的氣氛。小花終於見到了活下去的希望。
醫生稍事檢查,只能確定優先處理斷尾的傷口,視情況治療後腿(骨折OR拉傷),而且小花並未剪耳,所以節紮是勢在必行的了。
面對如此多樣的醫療項目以及我們預期龐大的醫療費用,我們雖然有心卻是能力有限,在這不期望協會能輔助全額的項目卻也希望協會可以讓小花有健康活命的機會,讓我們還能在社區巷口看到他傻裡傻氣與世無爭的慵懶神情。動物近況說明: 原地放養後仍會找愛媽要飼料
健康良好,術後行動較為緩慢











