贊助協會救治街貓帳戶--
外幣贊助匯款指示書>>
(北市社會字第3300號)
玉山銀行 中崙分行(代碼808)
0912940006763
戶名:社團法人臺北市支持流浪貓絕育計劃協會
收據可抵稅請將地址mail至cashier@tnrtw.org0912940006763
戶名:社團法人臺北市支持流浪貓絕育計劃協會
外幣贊助匯款指示書>>
(北市社會字第3300號)
已完成醫助款案例 |
|
- 編號: 4138
-
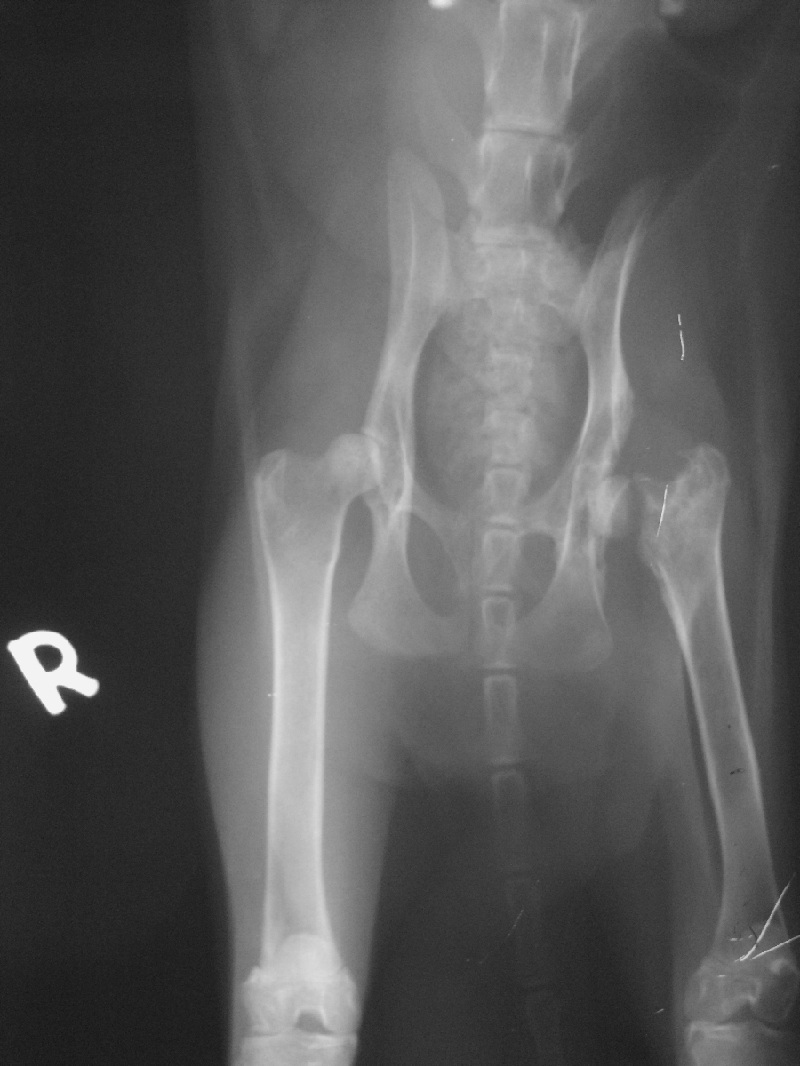
主題: 被車撞 下顎開放性骨折 大腿斷掉 申請者姓名: WanLin Lu 花色: 申請日期: 2014-03-11 02:05:57 申請者部落格: 申請者臉書網址: 所在縣市/合作醫院: 高雄市/樂生動物醫院 治療費用: 30800元 需求人數: 33人 已結案 (2014-05-18 09:39:58) 報名人員: Annisui Strauss(已付款)、Amberger(已付款)、JasmineC(已付款)、Jessica C. Chang(已付款)、Ameimei Wang(已付款)、黃安妮(已付款)、李子均 x2(已付款)、王大咪(已付款)、setona x2(已付款)、愛兒(已付款)、Mia Chao(已付款)、呂嘎嘰 x2(已付款)、白婷(已付款)、Fang-ching Lee(已付款)、Naima(已付款)、Helen Yu(已付款)、Irene Lin(已付款)、Katilin Chang、Chen Ping(已付款)、vivian(已付款)、喵卡(已付款)、Milkbau Lu(已付款)、仲希妍(已付款)、洪淑妍、錢快來 x2(已付款)、為流浪動物祈福(已付款)、小四 x3(已付款)、游銘威、蝦(已付款)、Jye-Lin Hsu(已付款)、 候補人員: 動物病情說明: 1/9 看到小花出現討吃的時,嚇了一跳,整個臉,前肢濕了又乾,
因為下巴整個合不起來一直留著口水而全身髒兮兮的,
血也已乾掉,傷口也開始留濃發臭,想喝水也沒辦法喝,
走路後腳跛腳還會沒力跌倒,不知道被車撞到後的幾天了。
緊急送去醫院檢查後,她的左下顎粉碎性骨折,左股骨頸斷裂及感染的問題,有脫水及肝指數偏高的現象,所以馬上吊點滴治療。
小花因無法進食,在1/11先進行食道胃管安置手術,
然後在1/13動了左下顎骨頭凸出來的清理加固定,跟清膿的手術。
後又在1/17動了右邊牙齒固定關節手術,
這段時間嘴巴有傷口所以是食道胃管灌食的狀態。
小花在1/28左下顎已拆線,2/7牠的餵食管已拿掉,可以自行進食(用舔的),
後在2/14動了股骨頭摘除手術。
2/28把牠接回家照顧
小花下巴現在雖然不能完全合起但至少已能自行進食軟食,後腳也已能稍微站立,之後會在帶牠複診直到完全康復
小花的醫藥費我以自行付6000,能力有限,其餘還需各位善心人士幫幫忙!!感謝你們,也謝謝協會跟醫師這段時間的幫助!!







