贊助協會救治街貓帳戶--
外幣贊助匯款指示書>>
(北市社會字第3300號)
玉山銀行 中崙分行(代碼808)
0912940006763
戶名:社團法人臺北市支持流浪貓絕育計劃協會
收據可抵稅請將地址mail至cashier@tnrtw.org0912940006763
戶名:社團法人臺北市支持流浪貓絕育計劃協會
外幣贊助匯款指示書>>
(北市社會字第3300號)
已完成醫助款案例 |
|
- 編號: 4483
-
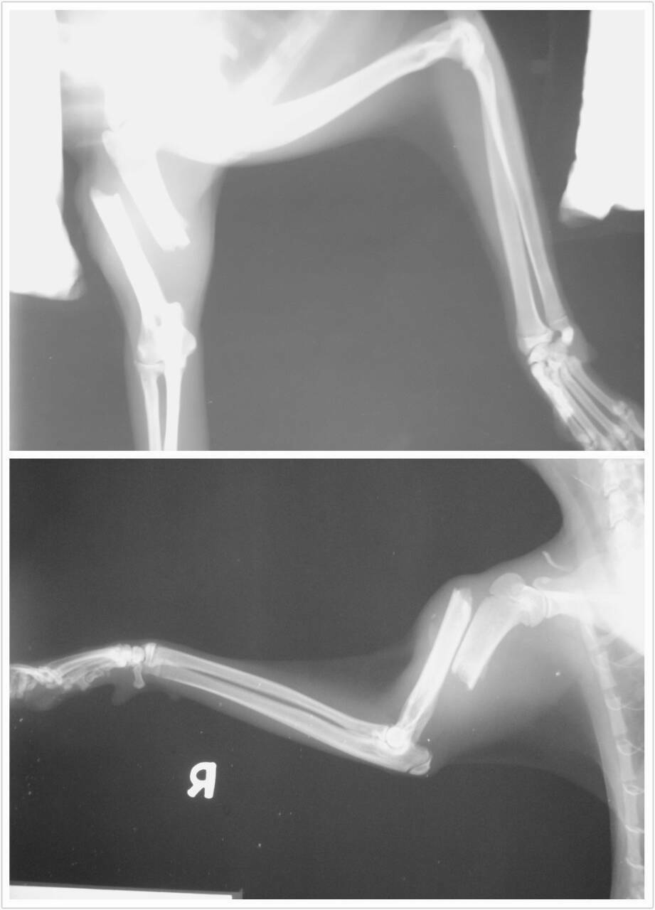
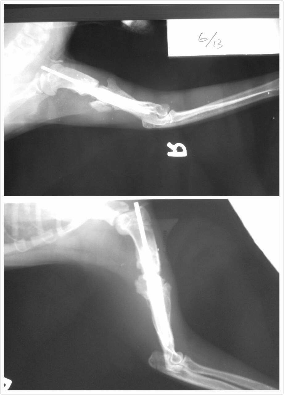
主題: 高雄壽山收容所醫務室攔截既將被安樂之花花(鼻氣管炎,右後腳外傷,右前腳膊骨斷裂非常嚴重) 申請者姓名: 張婷俞 花色: 申請日期: 2014-07-02 22:42:49 申請者部落格: 申請者臉書網址: 所在縣市/合作醫院: 高雄市/樂生動物醫院 治療費用: 28080元 需求人數: 30人 已結案 (2014-08-05 10:58:14) 報名人員: 小四 x2(已付款)、YiLing Li(已付款)、阿米(已付款)、吳佳祐(已付款)、胡嘟嘟(已付款)、鄧莉臻(已付款)、Kith Shiu(已付款)、Joanna Hu(已付款)、Sybil Huang(已付款)、Riona Chiu(已付款)、Egg(已付款)、Victoria Liou x2(已付款)、vivian(已付款)、Alice Tsai(已付款)、Victoria Liou x2(已付款)、Gina Du(已付款)、Sylvia x2(已付款)、阿曄(已付款)、Jean Lin(已付款)、Kuen-Lin Tsai(已付款)、凌波煙嵐(已付款)、Yaruh Fu(已付款)、有貓真好(已付款)、曾昭瑜(已付款)、CrystalBall x2(已付款)、 候補人員: 動物病情說明: 5/8上高雄壽山收容所救援2隻既將被安樂需要醫助的貓咪,花花跟白白。花花有脫水及眼鼻分泌物,咳嗽等鼻氣管炎的症狀且右後腳有外傷,右前腳跛行不願著地,經醫生鎮定照X光檢查,發現其上膊骨已斷裂,需手術治療,但因血液檢驗呈現白血球偏高,加上其嚴重鼻氣管炎的狀況,初步會先給藥及輸液治療,待病情穩定後再進行骨科手術。花花原本已結紮剪耳。
拜託大家幫忙可憐的花花、白白醫助!
原本花花預估費用:有脫水及眼鼻分泌物,咳嗽等鼻氣管炎的症狀且右後腳有外傷,右前腳跛行不願著地,經鎮定照X光檢查,發現其上膊骨已斷裂,需手術治療,但因血液檢驗呈現白血球偏高,加上其嚴重鼻氣管炎的狀況,初步會先給藥及輸液治療,待病情穩定後再進行手術,初步醫療預沽如下:
1.驅蟲 100
2.除蚤 (自備) 0
3.鎮定 300
4.X光檢驗 300*2=600
5.血液生化及電解質 1500
6.住院 300*30=9000
7.點滴 300*15=4500
8.氣霧治療 200* 6=1200
9.骨科手術 7000
10.眼藥水 100* 2= 200
花花醫助費用:
1 驅蟲 100
2 除澡(自備) 0
3 鎮定 300
4 X光檢驗 300*4=1200
5 血液生化及電解質 1500
6 二合一檢驗 500
7 住院(5�8∼6�26)300*49=14700
8 點滴 (5�8∼5�23)300*15=4500
9 氣霧治療 (5�8∼5�14)200*6=1200
10 骨科手術 7000
11 眼藥水 100*2=200
註:因骨科手術住院天數較久,醫療費用打9折。
總共費用:28080元整
動物近況說明: 壽山花花於昨晚6�26出院,花花因為骨科手術關係,醫生說需要在關籠一個月,讓骨頭復原。目前花花關籠隔離復原中~謝謝協會跟大家幫忙花花醫助費用











