贊助協會救治街貓帳戶--
外幣贊助匯款指示書>>
(北市社會字第3300號)
玉山銀行 中崙分行(代碼808)
0912940006763
戶名:社團法人臺北市支持流浪貓絕育計劃協會
收據可抵稅請將地址mail至cashier@tnrtw.org0912940006763
戶名:社團法人臺北市支持流浪貓絕育計劃協會
外幣贊助匯款指示書>>
(北市社會字第3300號)
已完成醫助款案例 |
|
- 編號: 4883
-
主題: 口腔潰瘍及肝有寄生蟲感染的公貓 申請者姓名: Yvonne Chu 花色: 申請日期: 2014-09-21 18:06:19 申請者部落格: 申請者臉書網址: https://www.facebook.com/yvonne.chu.777 所在縣市/合作醫院: 高雄市/弘恩動物醫院 治療費用: 16400元 需求人數: 19人 已結案 (2014-11-12 11:42:15) 報名人員: ERic YU(已付款)、Emily Chou x5(已付款)、Lanny Shieh(已付款)、Summer(已付款)、江妮妮 x2(已付款)、何偉靖(已付款)、Winnie Lu(已付款)、Kuen-Lin Tsai(已付款)、Jodie Liu(已付款)、王大咪(已付款)、joanna(已付款)、林小儀(已付款)、nana(已付款)、lsf330(已付款)、 候補人員: 動物病情說明: 這隻貓咪是這次高雄大氣爆前一週,在靠近災區前面的路上(崗山北街)發現的。當時,我路過停下來餵牠,就覺得牠怎麼不太吃?而且發現牠很瘦,肚子也凹陷!之後我每天都特地過去找牠餵牠吃罐頭。氣爆發生後,真的很擔心牠,所以出去找了幾夜,總算在8/6晚上看見牠了。再次看到牠發現牠連罐頭都不吃了!而且還有點喘,肚子的凹陷更明顯,變得更瘦了!怕擔誤牠的病情於是馬上決定帶牠就醫。因為牠身上有很多圓圈圈的黑塊所以幫牠取名字叫圈圈。
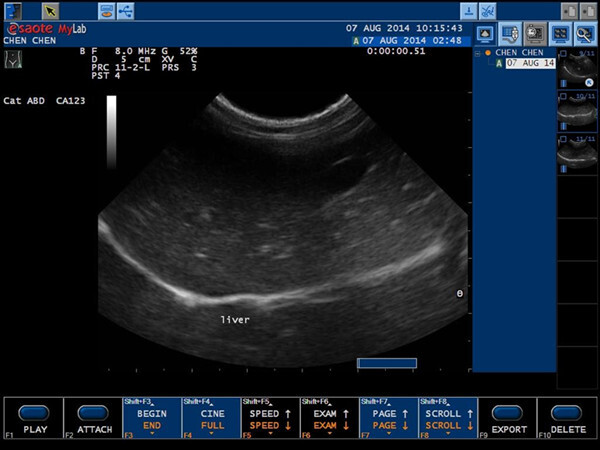
圈圈8/6送院時,醫生先幫牠驗血,發現牠有愛滋,第一次的檢查結果是:1.病毒感染,繼發全身細菌感染 ,球蛋白過高(超過三萬),口炎及爛牙嚴重,必須拔掉爛牙。2.有嚴重脫水。3.超音波檢查,腎有比較大顆但功能正常,泌尿道也沒有太大問題。4.X光檢查呼吸道沒有太大問題,但肝有寄生蟲移行後及明顯慢性䊹維化的症狀。8/14圈圈出現下痢,可能跟作了體內驅蟲有關。經過十幾天的治療,症狀都有較緩解,但到了8/20圈圈突然嘔吐,食慾也下降,醫生再度幫牠驗血發現白血球上升。9/3不肯進食,檢查發現口炎再度復發。動物近況說明: 經過將近一個多月的治療,圈圈的口炎、精神及食慾現在都已慢慢的恢復,目前也安排了一位中途朋友暫時在照顧牠。
感謝協會幫忙醫助這隻貓咪,更謝謝出錢贊助圈圈的朋友,讓牠有機會找回健康,正常生活。替圈圈謝謝大家!
以下是費用明細:
8/6~8/12
血檢1900
X-RAY 900
超音波500
住院打針300*7=2100
點滴+鉀離子300*7=2100
追蹤檢查1000
合計 8500
8/20~8/26
血液檢查二次+傳染病檢查 1600
住院+打針300*7
點滴300*7
增加部份 5800
9/3~9/9
口腔再度發炎增加針劑及投藥
300*7=2100
總計:8500+5800+2100=16400











