贊助協會救治街貓帳戶--
外幣贊助匯款指示書>>
(北市社會字第3300號)
玉山銀行 中崙分行(代碼808)
0912940006763
戶名:社團法人臺北市支持流浪貓絕育計劃協會
收據可抵稅請將地址mail至cashier@tnrtw.org0912940006763
戶名:社團法人臺北市支持流浪貓絕育計劃協會
外幣贊助匯款指示書>>
(北市社會字第3300號)
已完成醫助款案例 |
|
- 編號: 4886
-
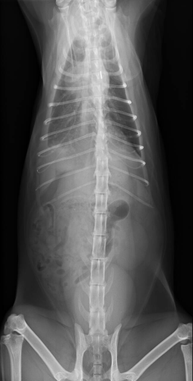
主題: 氣喘膿胸貓咪皮蛋醫療 申請者姓名: 詹惠文 花色: 申請日期: 2014-09-03 16:29:07 申請者部落格: 申請者臉書網址: 所在縣市/合作醫院: 台北市/長青動物醫院 治療費用: 18000元 需求人數: 20人 已結案 (2014-11-12 11:40:21) 報名人員: Roy Fang(已付款)、angelcat(已付款)、Grace Chang(已付款)、ERic YU(已付款)、凱特(已付款)、Moon(已付款)、Daa Lai、Daa Lai、Yuhuicat(已付款)、YuWei Yang(已付款)、Daa Lai、Daa Lai、monica chang x2(已付款)、范志瑋(已付款)、林小豬(已付款)、Yuchung Liu(已付款)、周妍鈞(已付款)、heaven730(已付款)、波波(已付款)、Miao-in Ciou(已付款)、黃雅伶(已付款)、吳哆(已付款)、Hoshina(已付款)、 候補人員: 動物病情說明: 五歲白底虎斑貓皮蛋,是中山區行政里已結紮浪貓。
皮蛋聰明親人,常有附近居民餵食。
8/15下午有認識的鄰居電話告知看到皮蛋出現,但沒精神且一直急促呼吸。
晚上去餵養區找到皮蛋,趴坐在地上喘息異常,就近先送往附近醫院。
經醫師診斷發燒約40度,膿胸,抽出約280ml的膿水。
醫師表示情況有危險性,需進一步詳細檢驗,可能需手術裝引流管。
先予抗生素治療。
8/16跟TNR協會報備皮蛋狀況,懇請協助轉協會配合醫院並申請醫助。
感謝協會迅速聯絡醫院醫師,於下午3點轉診長青醫院就醫。
長青醫師詳細觸診、血檢、X光、超音波、抽胸水檢驗(下午約抽出18ml)、眼球葡萄膜炎檢測。
抽出的胸水送細菌培養(好氧菌&厭氧菌),報告結果約需時3∼10天。
血液檢驗跟胸水檢驗都有發現不正常細胞(病菌),必須再更進一步檢查膿胸的發生原因。
醫師表示會有膿胸,大致上有三種可能:
(1)創傷性膿胸。浪貓打架被爪深度刺傷,細菌感染。
(2)濕性腹膜炎。致死率極高。
(3)淋巴腫瘤。經治療後僅有30%∼35%的15∼18個月的存活率。
等候細菌培養報告的住院期間,使用抗生素給藥(雙合黴素 加amikacin )。
貓咪住院兩週的期間很是煎熬,非常擔心是致死率極高的濕性腹膜炎或淋巴腫瘤。
每天都一定要去醫院陪伴皮蛋給予精神的鼓勵,並祈禱上帝藉由醫師的手醫治貓咪。
8/19∼8/26細菌培養報告出來皆未發現有好氧菌與厭氧菌的存在。
住院期間僅用抗生素治療未使用干擾素,胸水未再激增也未再急喘, 醫師逐一排除罹患腹膜炎及淋巴腫瘤的可能性, 確認為創傷性膿胸。
8/28皮蛋狀況穩定,安排出院。
出院後續服用一週的抗生素藥,醫師叮嚀之後若再有發生急喘要儘速就醫。
目前暫時安頓在鄰居家中,每日前往餵藥並持續觀察,待完全康復再R回。
感恩TNR協會對浪貓的救助,讓身為愛媽與志工的我能更有支撐的力量。
皮蛋的醫藥費用共計18,000元,感謝協會予以申請醫助,並懇請各位幫忙皮蛋的醫療費用。
無限感恩!動物近況說明: 目前暫時安頓在鄰居家中,每日前往餵藥並持續觀察,待完全康復再R回。











