贊助協會救治街貓帳戶--
外幣贊助匯款指示書>>
(北市社會字第3300號)
玉山銀行 中崙分行(代碼808)
0912940006763
戶名:社團法人臺北市支持流浪貓絕育計劃協會
收據可抵稅請將地址mail至cashier@tnrtw.org0912940006763
戶名:社團法人臺北市支持流浪貓絕育計劃協會
外幣贊助匯款指示書>>
(北市社會字第3300號)
已完成醫助款案例 |
|
- 編號: 5057
-
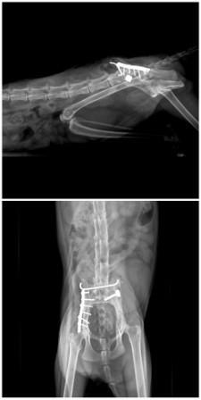
主題: 高雄市小港區 申請者姓名: 楊竣欽 花色: 申請日期: 2014-10-28 23:48:55 申請者部落格: 申請者臉書網址: 所在縣市/合作醫院: 高雄市/樂生動物醫院 治療費用: 46200元 需求人數: 48人 已結案 (2015-02-24 12:21:16) 報名人員: sharonhuang9(已付款)、Foowa Lin(已付款)、Winnie Lu x2(已付款)、connie242(已付款)、Nico Liu(已付款)、Milkbau Lu(已付款)、Prince Chen(已付款)、Ariel Wang(已付款)、顏小珍(已付款)、limit(已付款)、高永顗(已付款)、leelpr(已付款)、vivian(已付款)、Mia Chao(已付款)、張百八(已付款)、YuWei Yang(已付款)、SeiJi Lin(已付款)、Bella(已付款)、Kate Yang(已付款)、朵朵爸(已付款)、Winnie Lee(已付款)、Ray0322(已付款)、Summer(已付款)、Hllen Liu(已付款)、lisanna(已付款)、Cindy Hung(已付款)、陳宥慈(已付款)、young(已付款)、李脆脆(已付款)、Nunu(已付款)、ERic YU(已付款)、Salome Chang(已付款)、Mamiebaby(已付款)、蔡秀芳、FS.NG(已付款)、Pinger x12(已付款)、fang7880(已付款)、 候補人員: 動物病情說明: 在下班途中因天色昏暗.發現一隻貓咪在地上移動.靠近後卻看到貓咪後腿好像不尋常.貓咪驚嚇後就拖著後腿移動到汽車底盤下面.因貓咪受傷拖行又在馬路上停車格車底下怕車子移動會使貓咪發生不幸.手邊又沒有任何可以幫助貓咪的東西.我就趴在地上往車底下徒手先把貓咪抓在手上.四處打電話求助也沒人能幫忙.當下剛好遇到好心的路人來幫忙向附近店家要紙箱放置傷貓帶至醫院治療
經醫師初步診斷腳有嚴重外傷,右邊腸骨骨折及左右兩邊腸薦關節脫臼,驗血結果為貧血及肝指數過高,可能是車禍撞擊造成出血及肝損傷動物近況說明: 現階段要等開刀部分的骨頭癒合~在以當下妹妹後腿萎縮情況有無改善或是惡化來評估是否進行電療.針灸之醫療.










