贊助協會救治街貓帳戶--
外幣贊助匯款指示書>>
(北市社會字第3300號)
玉山銀行 中崙分行(代碼808)
0912940006763
戶名:社團法人臺北市支持流浪貓絕育計劃協會
收據可抵稅請將地址mail至cashier@tnrtw.org0912940006763
戶名:社團法人臺北市支持流浪貓絕育計劃協會
外幣贊助匯款指示書>>
(北市社會字第3300號)
已完成醫助款案例 |
|
- 編號: 5070
-
主題: 壽山收容所帶出嚴重車禍造成橫膈赫尼亞症的小黑帽 申請者姓名: 李淑芬 花色: 申請日期: 2014-10-24 19:38:58 申請者部落格: 申請者臉書網址: 所在縣市/合作醫院: 高雄市/樂生動物醫院 治療費用: 27500元 需求人數: 30人 已結案 (2014-11-12 11:38:31) 報名人員: Szu Pei Chen(已付款)、orange(已付款)、karyn(已付款)、姆姆 x3(已付款)、大貓(已付款)、貓奴(已付款)、Mimi Liu(已付款)、DouDou(已付款)、YPing(已付款)、Yulan Ni(已付款)、蔡鳳梨、Vivian Chen(已付款)、陳小茜(已付款)、Pei yun yu(已付款)、Patrick x3(已付款)、Pinger x11(已付款)、Mia Jheng(已付款)、 候補人員: 鄭萌萌、 動物病情說明: 10月1日一早收容所裡的一位志工打給我希望我能上去一躺,因為裡面有好幾隻貓狀況都不太樂觀的樣子,再待下去鐵定等收屍,於是立刻跟公司請了假上去一趟,二話不說全帶走
而這隻小黑帽,從外觀看起來沒甚麼外傷,但異常的喘,我趕快帶她前往樂生,當天下午醫生立刻打給我說,小黑帽很不妙!片子一照發現她出過車禍,很大的撞擊導致他的內臟全部往胸腔擠壓,所以牠才會異常的喘,這樣的症狀必須開刀,不開致死率百分百,但更麻煩的是小黑帽過瘦,牠目前才1.3公斤,加上有嚴重的流鼻涕和發燒症狀,所以沒辦法立刻施以手術,怕她承受不了,醫生建議先治療牠的流鼻涕和發燒,等到痊癒了且體重有增加了點,才會開刀。
以下是小黑帽住院醫療過程
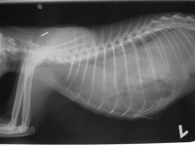
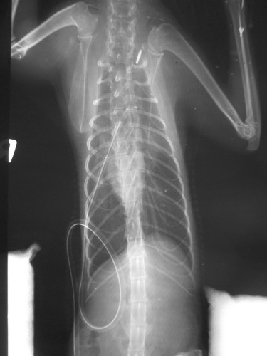
10月1日入院經過所有檢查,確定有.橫膈赫尼亞症,導致牠呼吸急促
,但由於小黑帽約4個月大,體重過輕,到院時體重只有1.3公斤,醫生不敢貿然開刀,只好先用藥物舒緩牠的呼吸急促,醫生說先把小黑帽的其他疾病先給穩住後再來開刀會比較保險,所以小黑帽的住院天數會預估的長一點
10月4日小黑帽因鼻膿,結膜炎及打噴嚏等鼻氣管炎症狀,而胃口不是很好,再一次測量體重時,居然下降至1.24公斤,醫生有加開些營養補充品給小黑帽吃,
10月6日小黑帽體重又下降至1.22公斤,很令人擔心,白血球依然很低,鼻膿,結膜炎及打噴嚏等鼻氣管炎症狀,也因小黑帽沒體力和抵抗力不足而沒有明顯好轉,醫生不敢貿然動刀
10月9日-10月12日,食慾有些許進步,會吃我帶去的湯灌+泡軟的飼料,體重恢復至1.3公斤,而鼻膿,結膜炎及打噴嚏等鼻氣管炎症狀也有改善60%,
醫生評估若這樣狀況能持續下去,則會在一個星期後鼻膿,結膜炎及打噴嚏等鼻氣管炎症狀都痊癒了,白血球指數也有提升後替小黑帽做 橫膈赫尼亞手術,術後若有撐過2天危險期,醫生評估能接出院自行照顧
10月15日做手術
10月17日手術成功,小黑帽狀況還不錯
10月18日接出院自行照顧
照片3是手術前 照片6是手術後動物近況說明: 小黑帽18號回家,還蠻緊張的,沒有像在醫院那麼穩定,會哈氣,19號有穩定些,慢動作的接近他,就不會呼我了,我有用浴巾包住抱著她幫他測了體重是1.8公斤,目前以皇家幼貓當主食,然後每天會再加一餐【貝克牛磺酸錠磨成粉+THOMAS LABS 湯瑪士離氨酸 拌日本AIXIA《MiawMiaw》金妙喵(肽添加-肉狀餐罐)給他吃,所以他目前會吃到4餐,他目前的食慾都很好,喝水量都有超過150CC,他身上黴菌的部分已有好轉35%,想說等她再胖一點,皮膚狀況好一些再進行送養部分,我有在自己的臉書上寫他的一些生活狀況,請朋友分享讓認養進度可以快一點
住院這段期間,非常感謝樂生動物醫院醫生和助理的細心照顧,小 黑帽的醫療費用還望大家多多幫忙






