贊助協會救治街貓帳戶--
外幣贊助匯款指示書>>
(北市社會字第3300號)
玉山銀行 中崙分行(代碼808)
0912940006763
戶名:社團法人臺北市支持流浪貓絕育計劃協會
收據可抵稅請將地址mail至cashier@tnrtw.org0912940006763
戶名:社團法人臺北市支持流浪貓絕育計劃協會
外幣贊助匯款指示書>>
(北市社會字第3300號)
已完成醫助款案例 |
|
- 編號: 5445
-
主題: 腋下發現腫瘤的花咪咪 申請者姓名: 林善秋 花色: 申請日期: 2015-02-12 14:07:12 申請者部落格: 申請者臉書網址: 所在縣市/合作醫院: 高雄市/銀星動物醫院 治療費用: 9400元 需求人數: 11人 已結案 (2015-02-24 12:32:05) 報名人員: Summer(已付款)、Patrick x3(已付款)、Judy Lee(已付款)、張育慈(已付款)、吳姿蓉(已付款)、小娃(已付款)、陳宥慈(已付款)、lavinia x2(已付款)、 候補人員: 動物病情說明: DORAEMI是在原本住家餵養的街貓,當初自行結紮沒剪耳,個性溫馴,附近鄰居也很喜歡她。
但由於是浪貓,身體常有不適症狀產生,抽血驗愛滋白血病呈陽性反應,也因此去年上呼吸道感染演變成嚴重肺炎,整整吃了一個月的抗生素,又常有口炎反覆發生,牙齒也幾乎爛光,所以已全口拔牙,食慾很好,沒有牙齒一樣吃得圓圓胖胖。
最近摸到她腋下靠進右側乳腺附近有個小硬塊,大約一顆黃豆大小,原本以為是淋巴結腫大而不以為意,過了2-3個禮拜,小腫塊依然存在而沒縮小,帶去給醫生檢查,醫生研判應該是腫瘤,且說靠近乳腺附近的腫瘤約有九成為惡性,需趕快切除,避免擴散,且是要將整排右側乳腺都要拿掉,由於手術範圍大時間漫長,要氣麻,費用較高。
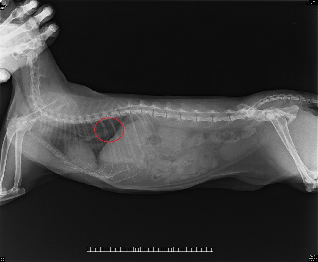
開刀傷口大但不會很深,可以不用住院上點滴,但這幾天須回院打針消炎檢查傷口。照X光亦發現肺部有2個小小的白色圓點,目前研判尚未有擴散的跡象,毋須化療,但要定期追蹤肺部的小白點。
1/23下午開完刀,晚上先接回家安置,為了一顆腫瘤切除身體一側乳腺,傷口很大又很長,親眼看到切下來的組織,讓人大吃一驚也十分心疼,回來之後可能因麻醉已退,走路很慢,躺著時也會發出不舒服的聲音,我不小心摸到她傷口附近會很生氣。原本有包藥回來餵,但咪不給人碰,餵藥會增加她的疼痛,1月24日回診打止痛針時,再請醫生以針劑方式治療。
1/24:今天還是非常疼痛的樣子,整天都沒吃,晚上帶回醫院檢查傷口,並打止痛針跟消炎針,回家休息後,可能止痛針發揮效果有進食的意願,開了罐頭,慢慢吃完一整罐
1/25-26這兩天傷口疼痛感應有降低,食慾有恢復,碰到傷口會生氣,行動緩慢,大部分時間都躺在軟墊上或棉被上休息,由於傷口會痛,DORAEMI動作不大,反而可以乖乖餵口服消炎藥,省了針劑治療費用
1/27晚上回診,傷口底部有不小心舔過的痕跡,有些許發炎,醫生稍微清理傷口,並開了7天分的消炎藥,預計下星期三或四拆線,這幾天若無其他症狀發生,持續餵口服藥即可
1/28-31這幾天doraemi的狀況都很穩定,傷口癒合情況十分理想,食慾愈來越好,檢查傷口時也不太會掙扎,應該是不會痛了才是,目前仍早晚餵消炎藥,可在2/4或5拆線,回復正常生活
2/1-5這幾天吃喝都很正常,傷口也癒合的還不錯,比較會到處走動,精神也很好,消炎藥已吃完,由於傷口恢復還算正常,可以不需再吃消炎藥,上半部分傷口癒合的速度高於下半部,因吃飯時會把頭套拆除方便進食,沒即時注意到吃完戴上頭套,會去舔傷口,原本預計2/5拆線,現在延後至2/7左右
Doraemi於2/7拆線,傷口下半部分也癒合的很完整,觸診身體其他部分也無特殊異狀,原本肺部的小陰影約3月初再照X光追蹤檢查。動物近況說明: 目前DORAEMI在志工家休養,身型越來越圓潤,毛色也亮麗許多,希望MI能健康久久,謝謝大家的捐款,萬分感謝



