贊助協會救治街貓帳戶--
外幣贊助匯款指示書>>
(北市社會字第3300號)
玉山銀行 中崙分行(代碼808)
0912940006763
戶名:社團法人臺北市支持流浪貓絕育計劃協會
收據可抵稅請將地址mail至cashier@tnrtw.org0912940006763
戶名:社團法人臺北市支持流浪貓絕育計劃協會
外幣贊助匯款指示書>>
(北市社會字第3300號)
已完成醫助款案例 |
|
- 編號: 5801
-
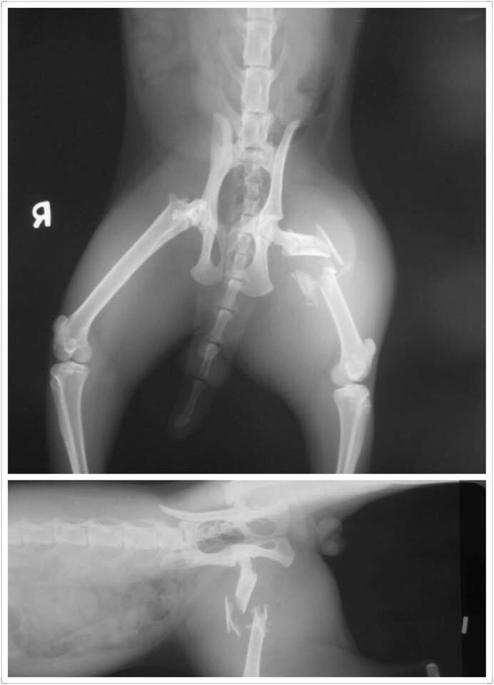
主題: 疑似被撞傷的小熊 申請者姓名: 李英儒 花色: 申請日期: 2015-05-18 21:46:41 申請者部落格: 申請者臉書網址: https://www.facebook.com/profile.php?id=100000352503503 所在縣市/合作醫院: 高雄市/樂生動物醫院 治療費用: 29700元 需求人數: 32人 已結案 (2022-03-11 00:07:29) 報名人員: orange(已付款)、Ficus Hsu(已付款)、Avril Hsu x2(已付款)、geniuscan(已付款)、Irena、misselaine(已付款)、Po-Lin Chen(已付款)、Po-Lin Chen x2(已付款)、Frankie(已付款)、游佳雯(已付款)、vivian(已付款)、BigMao、川之光(已付款)、陳魚寶(已付款)、coby0427(已付款)、Polly Ma x2(已付款)、rainbowstar39(已付款)、Little Cat Chang(已付款)、篝(已付款)、Abigail Cheng、lunyi(已付款)、lunyi(已付款)、lunyi(已付款)、lunyi(已付款)、Lia x2(已付款)、阿胖 x2(已付款)、Mickey Han(已付款)、Kate x2(已付款)、蔡小花(已付款)、 候補人員: 動物病情說明: 在餵養區內的親人的孩子小熊,原本是出現一些小外傷,以為跟附近的貓打架,不以為意,直到4/6放飯時間,左後腳無法著地,因為可以摸的到,所以急忙回家拿布跟外出籠撈起後,4/7早上送高雄 樂生動物醫院
.
樂生動物醫院判定
左後腳股骨粉碎性骨折,右後腳股骨頸斷裂,身上亦有一些外傷,有齒齦炎,口炎及輕微結膜炎等鼻氣管炎症狀,初步驗血有嚴重發炎(白血球過高)及肝臟受損(ALT及ALKP過高)的現象且有脫水,初步先點滴至及藥物治療待發炎及肝指數有下降後再另行骨科手術,
右後腳骨斷列部份討論後,有機會能自行癒合,不是急迫性手術,所以尚待評估,
醫生是說可能車禍,但我懷疑跟近來這個月出現的小外傷不知道有沒有關聯,該區另外一隻貓是完好無缺的,正在詢問附近店家是否有相關消息,,但這隻貓因為親人,治療好後考慮將其送養,不再原放
醫療情況關注
4/8號 住院隔天 因為有發炎與肝指數高等病況,所以先施予治療,等到症狀改善 身體健康後再開刀
4/8~4/9探視一切正常
4/10 發炎症狀減輕 點滴移除
4/10~4/14 探視正常恢復良好 安排4/20開刀
4/20~4/23 術後恢復期
4/25~5/1 精神好很多 恢復的不錯
5/5 預備出院前一天,突然不吃不喝,拉與吐,做血檢與貓瘟檢測,疑似貓瘟,隔離處理,並申請延後出院時間
5/8治療三天後,症狀回穩,改判斷是急性腸道病毒
5/14已恢復8~9成 5/15自行接回修養照護,
浪貓在外生活大不易,孩子餓了就必須穿越馬路找食物,撞到浪孩的人通常也都趁無人而逃逸,好險這次有tnr支持流浪貓絕育計劃協會的協助,才讓這個親人的孩子有再一次的重生機會~也請大家能多多支持TNR協會,讓TNR之路能早日完成,貓咪不在受流浪之苦
動物近況說明: 因為貓會親人,目前等待休養完成,打算開放送養











