贊助協會救治街貓帳戶--
外幣贊助匯款指示書>>
(北市社會字第3300號)
玉山銀行 中崙分行(代碼808)
0912940006763
戶名:社團法人臺北市支持流浪貓絕育計劃協會
收據可抵稅請將地址mail至cashier@tnrtw.org0912940006763
戶名:社團法人臺北市支持流浪貓絕育計劃協會
外幣贊助匯款指示書>>
(北市社會字第3300號)
已完成醫助款案例 |
|
- 編號: 6386
-
主題: 愛說話的車禍骨折吉吉 申請者姓名: 張婷俞 花色: 申請日期: 2015-10-04 14:05:36 申請者部落格: 申請者臉書網址: 所在縣市/合作醫院: 高雄市/樂生動物醫院 治療費用: 21200元 需求人數: 23人 已結案 (2022-05-13 15:09:43) 報名人員: Hsini Lee(已付款)、Joanna Liu(已付款)、謝沛豈(已付款)、cafeyi(已付款)、pennyshih(已付款)、企鵝小姐、Freesia Tsai(已付款)、陳珍妮(已付款)、陳小茜(已付款)、蘇艾倫 x2(已付款)、Catbask(已付款)、蘇小吉(已付款)、加歐斯(已付款)、沅沅(已付款)、Irene x2(已付款)、ERic YU(已付款)、Karen(已付款)、Elaine(已付款)、Dani x3(已付款)、郭玄(已付款)、 候補人員: 動物病情說明: 協會您好:
在舊家餵養區的吉吉有兩天沒有出現,9/2晚上餵食看到吉吉時,發現後腳跛腳非常嚴重,走路呈半跳狀態 不吃 腹部似乎有傷口,由於吉吉一直躲在車子底下中央,大概很不舒服,等了一段時間,一直不出來,於是9/3凌晨繼續進行誘捕,抓到後早上送至樂生動物醫院,一起順便結紮,醫生診斷如下。
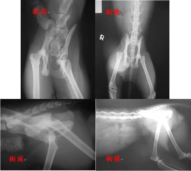
吉吉身上有輕微外傷但有脫水及眼鼻分泌物,初步驗血發現肝指數及白血球都有偏高,有發炎現象,貓二合一檢驗都為陰性,後腳經X光檢查發現有右側骨盆骨折,造成股骨頭及骨盆內凹,促使骨盆直腸通道變小,有可能會造成日後排便問題且內凹的股骨頭會造成疼痛及行走受限,建議股骨頭切除,目前已先點滴及給藥治療,後續如狀況穩定後才考慮進行手術。
9/5吉吉持續點滴、氣霧治療中,9/7吉吉點滴打到手腫脹醫生先幫拔點滴,休息一下,9/10 醫師再次幫吉吉血檢,且評估眼鼻分泌物明顯改善,於9/11進行結紮與股骨頭切除手術。
9/14去看吉吉術後持續恢復中,食慾也不錯,9/25去醫院看吉吉原定吉吉出院日,但因中秋連續假期跟颱風天,怕放炮聲會嚇到吉吉,因此自費讓吉吉住到9/30。
吉吉醫助費用:
1.驗血 1500
2.貓二合一檢驗 500
3.鎮定 300
4.X光檢驗 400×2=800
5.住院(9/3~9/25,扣除結紮天數2天) 300×20=6000
6.點滴(9/3~9/13)300×10=3000
7.血液監測(9/10) 400
8.氣霧治療(9/3~9/13) 200×10=2000
9.股骨頭摘除手術(9/11) 6000
10.結紮(9/11) 700(公貓)
共 21200元
因為有結紮,所以驅蟲100,除蚤200的費用是包含在結紮裡的。因此正確金額比預估金額少300元。
動物近況說明: 出院後吉吉原放回餵養區跟大橘小橘一起,出院後的前3天吉吉沒出現,但放置的乾糧都有吃光,直到第4天,吉吉跟著大橘小橘出現了,觀察一下吉吉行動,沒跛腳,走路也正常,只待手術部位毛長出來。吉吉現在都有出來吃飯,謝謝協會跟大家的幫忙^^











