贊助協會救治街貓帳戶--
外幣贊助匯款指示書>>
(北市社會字第3300號)
玉山銀行 中崙分行(代碼808)
0912940006763
戶名:社團法人臺北市支持流浪貓絕育計劃協會
收據可抵稅請將地址mail至cashier@tnrtw.org0912940006763
戶名:社團法人臺北市支持流浪貓絕育計劃協會
外幣贊助匯款指示書>>
(北市社會字第3300號)
已完成醫助款案例 |
|
- 編號: 6698
-
主題: 椎神經及肝臟損傷的貓咪 申請者姓名: Chung Barron Tsai 花色: 申請日期: 2016-02-03 21:25:59 申請者部落格: 申請者臉書網址: https://www.facebook.com/chungbarron.tsai 所在縣市/合作醫院: 高雄市/樂生動物醫院 治療費用: 14300元 需求人數: 16人 已結案 (2024-06-01 13:42:23) 報名人員: Polly Ma(已付款)、Mila Chen(已付款)、vivian(已付款)、ztsai(已付款)、Amber Chung(已付款)、Summer(已付款)、Jong Chia Liu(已付款)、Karen Hsieh(已付款)、Katie Yang(已付款)、Ru Shiuan Liu(已付款)、小捲 x2(已付款)、小羊(已付款)、Vivi(已付款)、邱姿榕、琬婷(已付款)、Hsiao-Chi Kuo(已付款)、 候補人員: 動物病情說明: 貓咪是在鼎中路附近的浪貓,我和同學常來這邊吃東西偶爾遇見會餵牠吃的,最近看到牠,買罐頭給牠吃都不吃,眼神越來越呆滯,精神變得超差的,還在我們面前吐了一些黃色液體出來,我和同學決定先抓牠就醫,希望協會可以幫忙救救這隻貓,我和同學也會籌一些錢付擔的,只希望貓咪快點好起來!
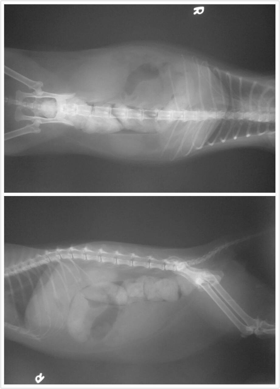
貓咪到院時後軀都是尿液, 醫生說有有漏尿的現象,尾巴無痛覺反應且不會擺動,可能薦椎神經有損傷,腹部觸診會痛, 有積糞可能也無法排便, 臀部剃毛發現有外傷瘀血跡象,初步驗血有白血球數及肝指數過高的現象,有發炎及肝損傷的問題,紅血球稍低, 此外有牙結石及齒齦炎,貓二合一檢驗為貓愛滋陽性,此貓可能有遭撞擊以致薦椎神經及肝臟損傷.
醫院目前已先給點滴及藥物治療, 肝藥(肝營養劑幫助肝修復), 止痛劑及抗生素 , X光片下有大膀胱及積糞, 目前觀察中
醫生有說此貓日後有如神經損傷沒恢復,可能需終生擠尿及挖便便, 會觀察一下 也有建議若有對神經有專的大醫院 可以讓貓去治療看看
1/6 送醫後醫師初步診斷為下:因到院時後驅都是尿液,有漏尿現象呈現尿失禁狀態,尾巴無痛覺反應且不會擺動,可能薦椎神經有受損,腹部觸診會痛,有積糞,可能也無法排便,臀部剃毛後發現有外傷及瘀血跡象,初步驗血有白血球數及肝指數過高的現象,有發炎及肝損傷的問題,紅血球稍低,此外有牙結石及齒齦炎,貓二合ㄧ檢驗為貓愛滋陽性,貓咪可能有遭撞擊以致薦椎神經及肝臟受損...
初步醫生先給予點滴及藥物治療(肝藥,止痛劑及抗生素,還有止血劑),X光片下確定膀胱有漲大及積糞,所以先給予擠尿和浣腸,以減緩不適
1/10 雖然還是要擠尿和便,但是尾巴開始會動了,神經受損似乎有改善,目前還是沒有食慾,所以今天裝了鼻胃管,開始餵食,醫療費用會再增加鼻胃管裝置及耗材費用
1/16 貓咪神經受損部分有明顯進步,會自己尿尿及排便了,肝指數也有下降,但白血球偏高有發炎的現象,精神有較好,但還是沒有自己進食,仍繼續灌食及藥物治療....
1/20 精神和狀態都明顯改善很多,偶爾會自己進食,但仍繼續灌食,已拆掉點滴改以皮下針劑治療,會自己大小便無需再擠尿和便了....動物近況說明: 原本以為貓沒辦法自行大小便,沒想到竟然慢慢改善復原了,目前貓咪1/27已經出院,我繼續照顧他,會努力幫忙他找家,感謝大家的善心捐助讓這貓咪可以接受治療,謝謝大家!











