贊助協會救治街貓帳戶--
外幣贊助匯款指示書>>
(北市社會字第3300號)
玉山銀行 中崙分行(代碼808)
0912940006763
戶名:社團法人臺北市支持流浪貓絕育計劃協會
收據可抵稅請將地址mail至cashier@tnrtw.org0912940006763
戶名:社團法人臺北市支持流浪貓絕育計劃協會
外幣贊助匯款指示書>>
(北市社會字第3300號)
已完成醫助款案例 |
|
- 編號: 7145
-
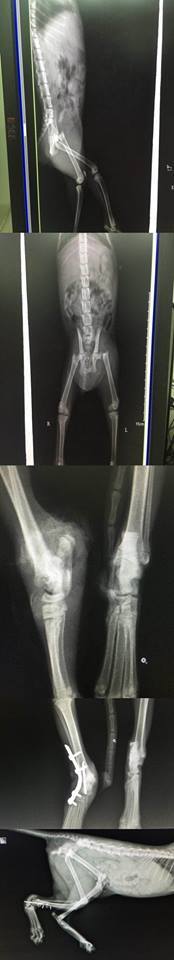
主題: 被丟包的斷腿小虎斑 申請者姓名: 許桂菱 花色: 申請日期: 2016-10-22 23:59:56 申請者部落格: 申請者臉書網址: 所在縣市/合作醫院: 彰化縣/成愛動物醫院 治療費用: 30000元 需求人數: 32人 已結案 (2024-06-01 13:34:34) 報名人員: Lichen Liao x2(已付款)、Caitlin、薇薇安(已付款)、王琇盈(已付款)、Millie Liao(已付款)、陳昱先 x4、陳昱先 x2(已付款)、Erin Lin(已付款)、Wester Wei(已付款)、李夢話 x2(已付款)、Iris Hsu、嘟嘟白白(已付款)、Chihai Chang x2(已付款)、點點(已付款)、chucl(已付款)、林曉林 x2(已付款)、Emily(已付款)、吉兒(已付款)、菲小比(已付款)、Shane(已付款)、Polly Ma(已付款)、Caitlin(已付款)、May x2(已付款)、Jing Yi Hsu(已付款)、Yi-Ling Yao(已付款)、Tiffany Shen(已付款)、夏夏發發 x3(已付款)、 候補人員: 動物病情說明: 7/1晚間才剛結束第一個餵養區誘捕母街貓送醫後,前往第二個餵養區發現一個被倒放紙箱,一陣寒意以為可能是貓大體,結果翻正一看是一隻無法行走的小貓,雖然受傷但也是哈氣出爪,於是只能用大塑膠袋套住紙箱趕緊送醫,檢查有幾處傷口,但不是非常嚴重的,經過X光片發現左腳大腿骨斷掉,腸薦骨有些移位需觀察,右小腿也腫脹!
7/1晚間照X光片,確認左腳股骨斷掉,腸薦骨移位,有多處小傷口,右後小腿有腫脹,先施打一般消炎針!
7/2~7/3 小貓狀態虛弱,先休養體力!
7/4 進行股骨頭摘除手術,小貓食慾差,不願意自行進食,些微脫水,術後施打點滴!二合一血檢快篩貓愛滋貓白血皆為陰性
7/5~7/8 小貓食慾差,有稀便,雖然無力但仍哈氣出爪,持續施打點滴
7/9~7/10 驗貓瘟快篩呈陰性,右後小腿腫脹成化膿,進行清創包紮
7/11 清創包紮時發現右後腿的跟骨斷掉,評估後將與腸薦骨手術一起進行,以免增加麻醉風險,另外右前掌也掉了一塊肉!
7/12 進行腸薦骨及跟骨手術,醫生說跟骨的部分沒什麼肉,擔心如果血液供給不足或感染嚴重,就必需要截肢到膝蓋處,每天早晚需施打抗生素!
7/14~7/19 每日清創包紮及抗生素治療,傷口部份還不錯,但跟骨的螺絲每日檢查都會鬆掉!小母貓兇悍隨時警戒,但食慾都不錯,排便也正常,醫生擔心跟骨部份恢復時間會拉長!
7/20~7/25 右後腿每日清創包紮,但跟骨最下方第四顆螺絲因小貓骨頭小無法鎖緊,醫生評估就不再上螺絲固定,傷口周圍已漸漸在長肉,持續控制傷口感染,醫生說需等肉長好包覆完全,恢復穩定後,還需將接片跟其他3顆螺絲移除!
7/26~8/02 右後腿每日清創包紮,目前跟骨周圍已漸漸在長肉,傷口無感染,小貓精神食慾皆好,排便也正常!
雖然還是很兇悍!
8/03~8/09 後腿每日清創包紮,跟骨周圍持續長肉無感染,小母貓精神食慾皆正常!
8/10~8/16 跟骨傷口每日清創包紮,持續長肉且無感染,8/15再照X光片,跟骨接合度尚未完全,預估需再一個月才能將固定之鎖板鐵片拆除!
8/17~8/31 持續每日清創包紮,傷口沒有感染,癒合狀況順利,傷貓精神食慾皆好,雖然還是會哈氣,但已經不會主動出爪傷人!
9/01~9/06 每日清創包紮,傷口癒合狀況良好!
9/08 再照x光片,先將骨板取出,骨內釘的部分要再2星期左右,等掌骨上面再長好ㄧ點才拆,最後這次取釘會一起做結育手術!
9/09~9/20 每日清潔包紮,癒合狀況良好!
9/21 取出釘板及結紮手術
原預計9/30出院,但因結紮傷口縫線繃開,改用皮釘也是癒合情況不好!
10/4 結紮傷口縫線,隔天傷口又開了!
10/5~10/10 傷口暫不縫合,噴外敷藥!
10/15 結紮傷口痊癒接出院
10月之住院費用醫院沒有計費!
總醫療費用是47,550元,志工部分負擔17,550元
實際申請醫療費用為30,000元動物近況說明: 因小貓是直接被丟包,所以也不知道R回何處,先行接回安置,進行親人訓練及多貓相處後準備送養!











