贊助協會救治街貓帳戶--
外幣贊助匯款指示書>>
(北市社會字第3300號)
玉山銀行 中崙分行(代碼808)
0912940006763
戶名:社團法人臺北市支持流浪貓絕育計劃協會
收據可抵稅請將地址mail至cashier@tnrtw.org0912940006763
戶名:社團法人臺北市支持流浪貓絕育計劃協會
外幣贊助匯款指示書>>
(北市社會字第3300號)
已完成醫助款案例 |
|
- 編號: 7441
-
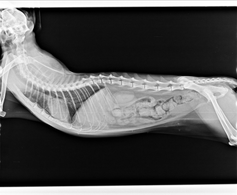
主題: 【住院費】因上呼吸道感染不吃不喝住院的佳音 申請者姓名: 臺北市支持流浪貓絕育計劃協會 花色: 申請日期: 2017-01-02 18:39:38 申請者部落格: 申請者臉書網址: https://www.facebook.com 所在縣市/合作醫院: 台北市/極光動物醫院 治療費用: 42030元 需求人數: 43人 已結案 (2022-05-13 15:17:55) 報名人員: 阿乾(已付款)、林嘉慧(已付款)、Qu Een x2(已付款)、Qu Een x2、Patrick x3(已付款)、Sam、Sam(已付款)、Daniel Tsai(已付款)、Ashley Chang(已付款)、歐提斯(已付款)、熊熊(已付款)、Ironbear(已付款)、王小(已付款)、Yu Hui(已付款)、韓風、paula chen x3(已付款)、林廷軒(已付款)、Double c(已付款)、Daniel Tsai x3(已付款)、Daniel Tsai x3(已付款)、洪凱威(已付款)、youngshiang(已付款)、Carrie Lian(已付款)、阿胖(已付款)、Bella Chen(已付款)、amber(已付款)、Ling Lan(已付款)、Jing Yi Hsu x2(已付款)、陳加諸(已付款)、lavinia x2(已付款)、李 其展(已付款)、ERic YU(已付款)、陳小魚(已付款)、Nina Chiu(已付款)、Cary(已付款)、 候補人員: 動物病情說明: 佳音是北投12貓其中之一,一開始狀況非常的差,不吃不喝,又染上呼吸道病毒送醫,醫生極盡所能的給予協助,在各方面積極治療,做的檢查包含紅白血球檢測、血液生化檢查、耳垢檢查、糞檢、X光片、細菌培養、血型檢測、血巴東核酸診斷檢驗、貓瘟病毒篩檢,針對佳音的狀況給予皮下點滴注射、口服第一、二線抗生素、口服化痰藥、口服抗組織胺、食慾促進劑、腸內寄生蟲驅蟲藥、口服消化酵素、耳藥水、靜脈止吐針劑、胃乳、肌肉注射鐵劑、益補血、噴霧、食道胃管灌食等等,在醫師團隊的努力下,經歷了23的治療,佳音身體逐漸好轉,已經出院在安養之家調養身體。
目前食慾很好,但還是有一點鼻涕跟輕微軟便,住在佳音隔壁籠的兄弟-大方,還會隔著籠子跟她聊天對望,非常有趣,面對鏡頭,倒也很率真的給拍,逐漸適應環境的佳音,也變得親人,每當叫她名字的時候,還會小小聲地回應,有點害羞的她,也漸漸願意給照護員摸摸了,最近,我們積極的尋找有心接納她的人,期盼佳音能遇到一個願意好好珍愛她的家人,永遠不離不棄。







