贊助協會救治街貓帳戶--
外幣贊助匯款指示書>>
(北市社會字第3300號)
玉山銀行 中崙分行(代碼808)
0912940006763
戶名:社團法人臺北市支持流浪貓絕育計劃協會
收據可抵稅請將地址mail至cashier@tnrtw.org0912940006763
戶名:社團法人臺北市支持流浪貓絕育計劃協會
外幣贊助匯款指示書>>
(北市社會字第3300號)
已完成醫助款案例 |
|
- 編號: 7442
-
主題: 歷經滄桑身體虛弱住院的玳安 申請者姓名: 臺北市支持流浪貓絕育計劃協會 花色: 申請日期: 2017-01-02 18:49:25 申請者部落格: 申請者臉書網址: https://www.facebook.com 所在縣市/合作醫院: 台北市/極光動物醫院 治療費用: 32652元 需求人數: 33人 已結案 (2022-05-13 15:17:52) 報名人員: youngshiang(已付款)、林嘉慧(已付款)、Bear(已付款)、devin(已付款)、Tetsu x3(已付款)、Yvonne(已付款)、陳小橘 x4(已付款)、海郁(已付款)、Rachel Lee(已付款)、Amber Chung(已付款)、黑美福福cookie(已付款)、Chou Lara(已付款)、PK(已付款)、Ling Lan(已付款)、nami x3(已付款)、林至恩(已付款)、Fox Yo(已付款)、吳毓軒(已付款)、陳昱先(已付款)、Lou Wu(已付款)、北七寶(已付款)、Tsai Bamboo(已付款)、Sisy Liang、Sisy Liang(已付款)、Coffeemilk x2(已付款)、洪凱威(已付款)、 候補人員: 動物病情說明: 對一隻經歷風霜的貓咪來說,幸福是什麼?
也許就是,不用挨餓受凍,有同伴互相依靠吧!
玳安,是北投老夫婦12隻的其中之一,他的兄弟姐妹們,有的在天堂了,有的找到新主人了,而玳安,她曾因思念主人,不吃不喝,虛弱到必須住院治療,在極光醫師團隊的搶救下,經歷了24天的醫治,才得以出院。
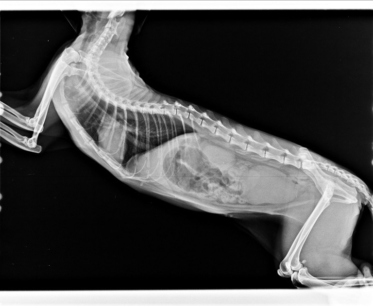
很難想像,小小的身軀承受了多次血液生化檢查、、耳垢檢查、糞檢、X光片、血巴東核酸診斷檢驗、皮下點滴注射、口服抗生素、化痰藥、抗組織胺、食慾促進劑、腸內寄生蟲驅蟲、肝腦錠、消化酵素、消炎眼藥水、耳藥水、噴霧,這些對她來說都是精神上的壓迫,肉體上的折磨,而她總是那個靜靜的、帶點惶恐的樣子躲在角落,承受著一切。
她不兇,但也不那麼親人,於是,她出院後,我們決定讓她去最適合貓咪的環境,那裏有大自然,有花草樹木,小飛蛾,小螃蟹,有兄弟姊妹的陪伴,有照顧人員仔細照料,玳安終於不那麼緊張了,取而代之的,她出現了驚喜的表情,逐漸的,她比較放鬆了,悠哉的時刻多了,警戒的氛圍少了,相信總有一天,她可以再次幸福快樂的。











