贊助協會救治街貓帳戶--
外幣贊助匯款指示書>>
(北市社會字第3300號)
玉山銀行 中崙分行(代碼808)
0912940006763
戶名:社團法人臺北市支持流浪貓絕育計劃協會
收據可抵稅請將地址mail至cashier@tnrtw.org0912940006763
戶名:社團法人臺北市支持流浪貓絕育計劃協會
外幣贊助匯款指示書>>
(北市社會字第3300號)
已完成醫助款案例 |
|
- 編號: 7444
-
主題: 【高雄】不吃不喝的咪咪 申請者姓名: 顧秀雲 花色: 申請日期: 2017-01-14 23:04:34 申請者部落格: 申請者臉書網址: https://www.facebook.com/profile.php?id=100002345606992 所在縣市/合作醫院: 高雄市/小新動物醫院 治療費用: 8500元 需求人數: 19人 已結案 (2022-05-13 15:17:44) 報名人員: ChienChoi(已付款)、JJ Chang x2(已付款)、布魯陳 x2、布魯陳 x2(已付款)、黃魚先(已付款)、王小盈(已付款)、Erina Chen x2、加加(已付款)、LittleSun、LittleSun x2(已付款)、張草莓(已付款)、karena(已付款)、Vicky Tung(已付款)、vivian(已付款)、伶(已付款)、Ed Tsai x4(已付款)、 候補人員: 動物病情說明: 這隻母貓秀雲姐叫牠“咪咪”,年紀約7歲,因為是早期秀雲姐自費結紮的貓咪,所以沒有剪耳;咪咪是秀雲姐在喵喵茶屋後巷子餵養的浪浪,偶爾會在喵喵茶店裡進出玩耍討吃。
平日很健康的牠,約十幾天前秀雲姐就發現沒什麼食慾,但是這幾天病情突然急轉直下,已經都不吃不喝了,看牠病奄奄無力的樣子,秀雲姐心裡著急又難過,1/2忍不住把咪咪送去醫院,先辦了住院給醫生做詳細檢查。
鍾醫生診療後說明如下:
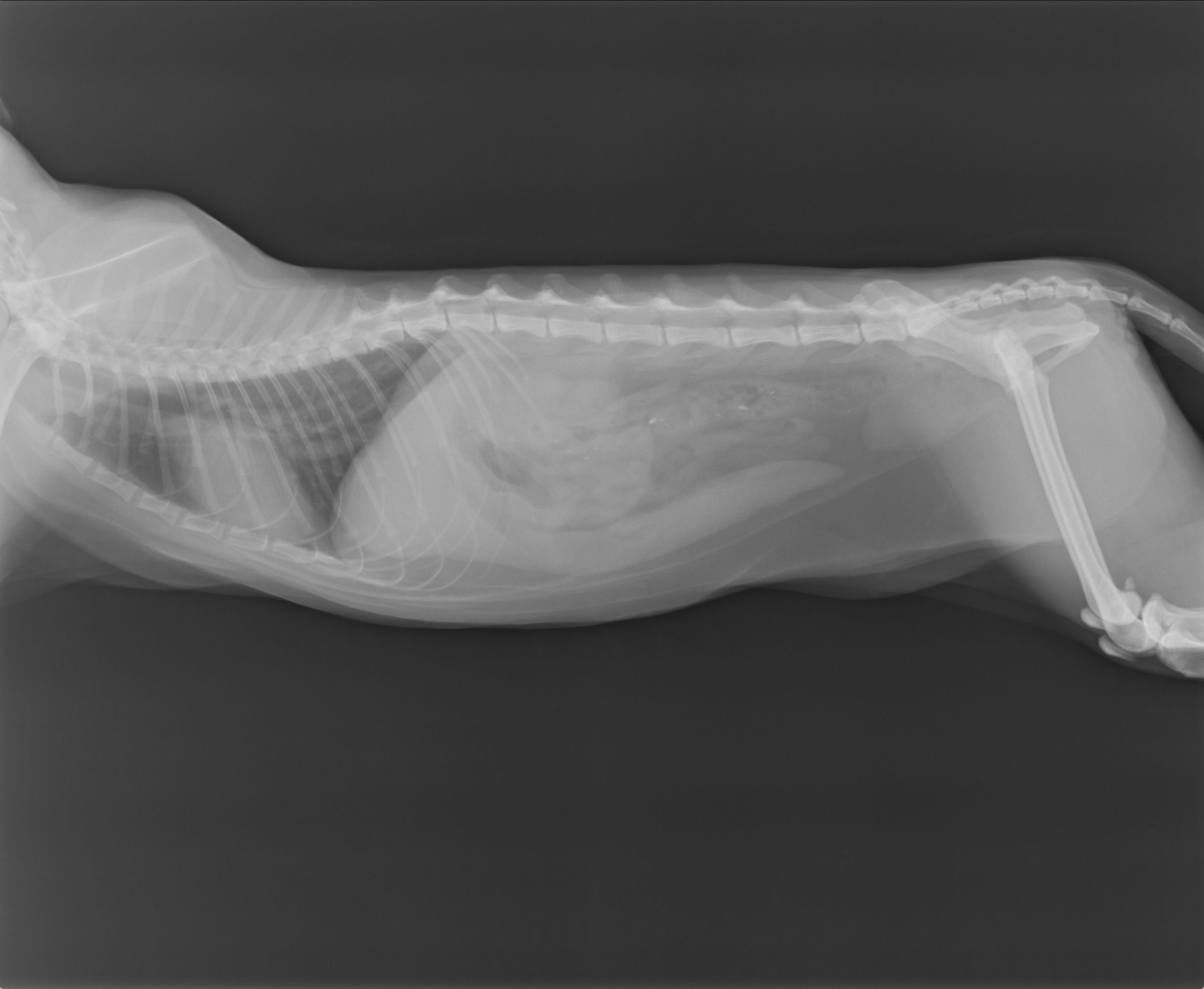
咪咪厭食超過一週,發燒41.3度,有黃疸及黏膜蒼白;血檢發現有嚴重的貧血,肝指數偏高,球蛋白偏高,懷疑有血液寄生蟲,需要另送PCR篩檢;x光發現脾臟腫大,貓二合一篩檢發現有白血病,目前先點滴輸液治療,給予血液寄生蟲藥物及肝藥。動物近況說明: 咪咪目前已於1/12出院。
雖然PCR篩檢結果顯示咪咪沒有血液寄生蟲的,但咪咪還是有貧血、肝指數偏高以及脾臟腫大的問題,所以還是開立1週份的口服藥,之後仍需回診追蹤病況。
於是咪咪現在先留在喵喵茶養病,等待農曆年後天氣回暖,依病況研判可不可以野放,還是留在喵喵茶養老。











